This is a preprint.
Clinical, pathologic and molecular findings in 2 Rottweiler littermates with appendicular osteosarcoma
- PMID: 38659878
- PMCID: PMC11042397
- DOI: 10.21203/rs.3.rs-4223759/v1
Clinical, pathologic and molecular findings in 2 Rottweiler littermates with appendicular osteosarcoma
Abstract
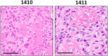
Appendicular osteosarcoma was diagnosed and treated in a pair of littermate Rottweiler dogs, resulting in distinctly different clinical outcomes despite similar therapy within the context of a prospective, randomized clinical trial (NCI-COTC021/022). Histopathology, immunohistochemistry, mRNA sequencing, and targeted DNA hotspot sequencing techniques were applied to both dogs' tumors to define factors that could underpin their differential response to treatment. We describe the comparison of their clinical, histologic and molecular features, as well as those from a companion cohort of Rottweiler dogs, providing new insight into potential prognostic biomarkers for canine osteosarcoma.
Keywords: Osteosarcoma; Rottweiler; canine; genomics.
Conflict of interest statement
Competing interests: AKL and JAB are members of the Editorial board for BMC Veterinary Oncology.
Figures





References
-
- Withrow SJ, Powers BE, Straw RC, Wilkins RM. Comparative aspects of osteosarcoma. Dog versus man. Clin Orthop Relat Res. 1991;159–168. - PubMed
Publication types
Grants and funding
LinkOut - more resources
Full Text Sources
Molecular Biology Databases