Unusual initial presentation of prostate adenocarcinoma with inguinal lymph nodes metastases: a case report
- PMID: 38680777
- PMCID: PMC11049566
- DOI: 10.1093/omcr/omae027
Unusual initial presentation of prostate adenocarcinoma with inguinal lymph nodes metastases: a case report
Abstract
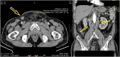
The presence of lymph node metastases in prostate adenocarcinoma is a poor prognostic sign, and mortality rates are often high. Inguinal lymph node metastases are an unusual presentation of advanced disease, and they can be easily misinterpreted with other diseases. We present a case of a 63-year-old patient with no previous symptoms and signs of prostate disorder with a right-sided inguinal lump and abdominal pain. The CT scan showed right inguinal and retroperitoneal lymphadenopathy. Elevated PSA serum levels, digital rectal examination, and skeletal scintigraphy with 99mTc-MDP favored the diagnosis of metastatic prostate adenocarcinoma. Since the patient denied prostate biopsy, a dissection of the right inguinal nodes was performed. Histopathological findings confirmed metastatic prostate adenocarcinoma. The treatment was hormonal and bisphosphonate therapy, with objective posttreatment improvement. Based on this case, it can be concluded that inguinal and generalized lymphadenopathy are potential initial manifestations of metastatic prostate adenocarcinoma in male patients.
Keywords: case report; inguinal lymphadenopathy; metastases; prostate adenocarcinoma.
© The Author(s) 2024. Published by Oxford University Press.
Conflict of interest statement
No conflict of interest.
Figures



References
-
- Paño B, Sebastià C, Buñesch L, Mestres J, Salvador R, Macías NG. et al. Pathways of lymphatic spread in male urogenital pelvic malignancies. Radiographics 2011;31:135–60. - PubMed
-
- Jackson ASN, Sohaib SA, Staffurth JN, Huddart RA, Parker CC, Horwich A. et al. Distribution of lymph nodes in men with prostatic adenocarcinoma and lymphadenopathy at presentation: a retrospective radiological review and implications for prostate and pelvis radiotherapy. Clin Oncol (R Coll Radiol) 2006;18:109–16. - PubMed
-
- Shah VA, Rixey A, Dusing R. Prostate cancer metastases to inguinal lymph nodes detected by attenuation-corrected 11 C-acetate PET/CT. J Nucl Med Technol 2016;44:46–8. - PubMed
-
- Elsaqa M, Sharafeldeen M, Elabbady A. Metastatic prostate cancer presenting with bilateral inguinal lymphadenopathy. Clin Genitourin Cancer 2019;17:e1185–7. - PubMed
Publication types
LinkOut - more resources
Full Text Sources
Research Materials
Miscellaneous