A new bicornuate model of rat uterus transplantation
- PMID: 38693698
- PMCID: PMC11871102
- DOI: 10.1111/aogs.14857
A new bicornuate model of rat uterus transplantation
Abstract
Introduction: Uterus transplantation has revolutionized reproductive medicine for women with absolute uterine factor infertility, resulting in more than 40 reported successful live births worldwide to date. Small animal models are pivotal to refine this surgical and immunological challenging procedure aiming to enhance safety for both the mother and the child.
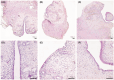
Material and methods: We established a syngeneic bicornuate uterus transplantation model in young female Lewis rats. All surgical procedures were conducted by an experienced and skilled microsurgeon who organized the learning process into multiple structured steps. Animals underwent meticulous preoperative preparation and postoperative care. Transplant success was monitored by sequential biopsies, monitoring graft viability and documenting histological changes long-term.
Results: Bicornuate uterus transplantation were successfully established achieving an over 70% graft survival rate with the passage of time. The bicornuate model demonstrated safety and feasibility, yielding outcomes comparable to the unicornuate model in terms of ischemia times and complications. Longitudinal biopsies were well-tolerated, enabling comprehensive monitoring throughout the study.
Conclusions: Our novel bicornuate rat uterus transplantation model provides a distinctive opportunity for sequential biopsies at various intervals after transplantation and, therefore, comprehensive monitoring of graft health, viability, and identification of potential signs of rejection. Furthermore, this model allows for different interventions in each horn for comparative studies without interobserver differences contrary to the established unicornuate model. By closely replicating the clinical setting, this model stands as a valuable tool for ongoing research in the field of uterus transplantation, promoting further innovation and deeper insights into the intricacies of the uterus transplant procedure.
Keywords: bicornuate uterus; rat; uterus transplantation.
© 2024 The Authors. Acta Obstetricia et Gynecologica Scandinavica published by John Wiley & Sons Ltd on behalf of Nordic Federation of Societies of Obstetrics and Gynecology (NFOG).
Conflict of interest statement
The authors have no conflicts of interest to disclose.
Figures




References
-
- Brännström M, Johannesson L, Bokstrom H, et al. Livebirth after uterus transplantation. Lancet. 2015;385:607‐616. - PubMed
-
- Fageeh W, Raffa H, Jabbad H, Marzouki A. Transplantation of the human uterus. Int J Gynecol Obstet. 2002;76:245‐251. - PubMed
-
- Johannesson L, Enskog A, Dahm‐Kahler P, et al. Uterus transplantation in a non‐human primate: long‐term follow‐up after autologous transplantation. Hum Reprod. 2012;27:1640‐1648. - PubMed
MeSH terms
LinkOut - more resources
Full Text Sources
Medical