Clinical characteristics, radiological features and outcomes in pulmonary involvement of cryoglobulinemia
- PMID: 38698461
- PMCID: PMC11067141
- DOI: 10.1186/s13023-024-03159-0
Clinical characteristics, radiological features and outcomes in pulmonary involvement of cryoglobulinemia
Abstract
Background: Cryoglobulinemia with pulmonary involvement is rare, and its characteristics, radiological findings, and outcomes are still poorly understood.
Methods: Ten patients with pulmonary involvement of 491 cryoglobulinemia patients at Peking Union Medical College Hospital were enrolled in this retrospective study. We analyzed the characteristics, radiological features and management of pulmonary involvement patients, and compared with those of non-pulmonary involvement with cryoglobulinemia.
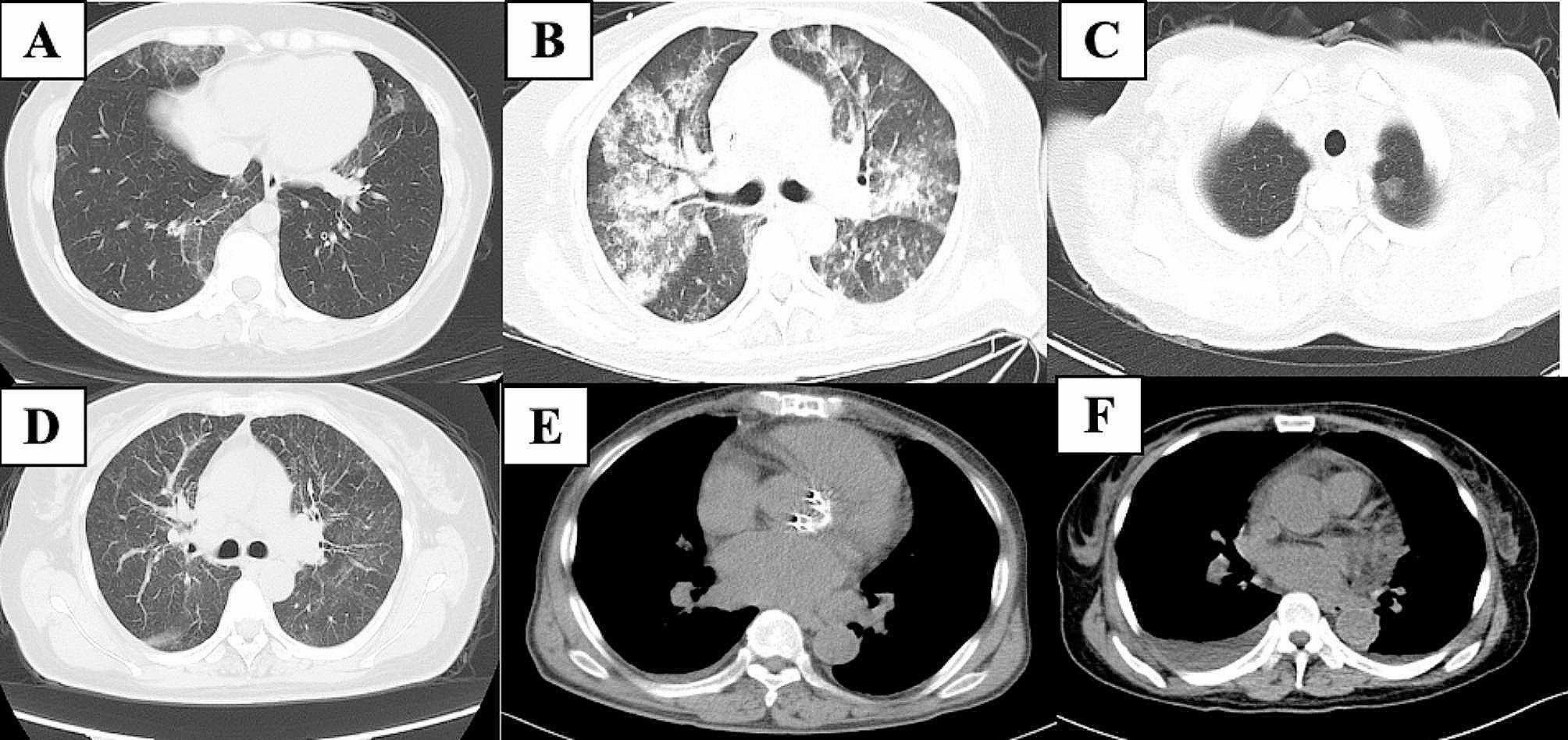
Results: The 10 patients with pulmonary involvement (2 males; median age, 53 years) included three patients with type I cryoglobulinemia and seven patients with mixed cryoglobulinemia. All of 10 patients were IgM isotype cryoglobulinemia. All type I patients were secondary to B-cell non-Hodgkin lymphoma. Four mixed patients were essential, and the remaining patients were secondary to infections (n = 2) and systemic lupus erythematosus (n = 1), respectively. Six patients had additional affected organs, including skin (60%), kidney (50%), peripheral nerves (30%), joints (20%), and heart (20%). The pulmonary symptoms included dyspnea (50%), dry cough (30%), chest tightness (30%), and hemoptysis (10%). Chest computed tomography (CT) showed diffuse ground-glass opacity (80%), nodules (40%), pleural effusions (30%), and reticulation (20%). Two patients experienced life-threatening diffuse alveolar hemorrhage. Five patients received corticosteroid-based regimens, and four received rituximab-based regimens. All patients on rituximab-based regimens achieved clinical remission. The estimated two-year overall survival (OS) was 40%. Patients with pulmonary involvement had significantly worse OS and progression-free survival than non-pulmonary involvement patients of cryoglobulinemia (P < 0.0001).
Conclusions: A diagnosis of pulmonary involvement should be highly suspected for patients with cryoglobulinemia and chest CT-indicated infiltrates without other explanations. Patients with pulmonary involvement had a poor prognosis. Rituximab-based treatment may improve the outcome.
Keywords: Alveolar hemorrhage; Cryoglobulinemia; Diffuse ground-glass opacity; Rituximab.
© 2024. The Author(s).
Conflict of interest statement
The authors declare that they have no competing financial interests.
Figures
References
-
- Ramos-Casals M, Forns X, Brito-Zerón P, Vargas A, Ruiz M, Laguno M, Yagüe J, Sánchez-Tapias JM, Gatell JM, Font J. Cryoglobulinaemia associated with hepatitis C virus: influence of HCV genotypes, HCV-RNA viraemia and HIV coinfection. J Viral Hepat. 2007;14(10):736–42. doi: 10.1111/j.1365-2893.2007.00866.x. - DOI - PubMed
Publication types
MeSH terms
Grants and funding
LinkOut - more resources
Full Text Sources
