Intrabiliary Rupture of a Hepatic Hydatid Cyst: A Case Report
- PMID: 38733073
- PMCID: PMC11099549
- DOI: 10.12659/AJCR.943893
Intrabiliary Rupture of a Hepatic Hydatid Cyst: A Case Report
Abstract
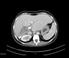
BACKGROUND Hydatid disease is a common parasitic infection in many areas of Asia, South America, and Africa. It can affect any organ, most commonly the liver. The hydatid is often asymptomatic and the diagnosis is made when complications arise. The most common complication of this disease is opening in the bile ducts, which is a life-threatening condition causing serious acute cholangitis. We report a case of acute cholangitis caused by hydatid cyst rupture into the right bile duct. CASE REPORT A 33-year-old woman, with no medical or surgical history, presented to our Emergency Department with abdominal pain, jaundice, and fever for 3 days prior to admission. The patient was hemodynamically stable. In the examination, we noticed right upper-quadrant tenderness with guarding, icterus sclera, and negative Murphy sign. A CT scan showed a liver hydatid cyst of the 4th and 8th of segments, with intrahepatic and extrahepatic biliary duct dilation. The cyst communicated with the right hepatic bile duct via a large fistula. A diagnosis of acute cholangitis was made and she underwent conservative treatment with external drainage of the pericystic cavity through the biliary duct. The postoperative course was uncomplicated and she was discharged 15 days later. CONCLUSIONS The surgical approach to hepatic hydatid must be customized based on the specific characteristics of the cyst and associated complications. Acute hydatid cholangitis is a rare but serious complication of a hydatid cyst, which requires early diagnosis and adequate surgical management.
Conflict of interest statement
Figures
References
-
- Ramia JM, Figueras J, De la Plaza R, García-Parreño J. Cystobiliary communication in liver hydatidosis. Langenbeck’s ArchSurg. 2012;397:881–87. - PubMed
Publication types
MeSH terms
LinkOut - more resources
Full Text Sources
