Ultrasound-Guided Regional Anesthesia Using a Mixture of Dexamethasone, Dexmedetomidine, and 0.2% Levobupivacaine for Bilateral Breast Cancer Surgery Under a Spontaneous Breathing Opioid-Free Anesthesia: A Case Report
- PMID: 38756298
- PMCID: PMC11097996
- DOI: 10.7759/cureus.58394
Ultrasound-Guided Regional Anesthesia Using a Mixture of Dexamethasone, Dexmedetomidine, and 0.2% Levobupivacaine for Bilateral Breast Cancer Surgery Under a Spontaneous Breathing Opioid-Free Anesthesia: A Case Report
Abstract
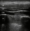
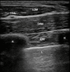
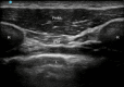
Breast cancer is unfortunately the most common cancer in women, although survival rates have greatly increased in recent years. Breast surgery can be very aggressive and therefore highly painful, leading to high rates of acute postsurgical pain and chronic pain. In addition to general anesthesia (GA), ultrasound-guided regional anesthesia (RA) is sometimes performed to help reduce acute postoperative pain and consumption of opioids. Although effective, the main limitation of fascial plane blocks is that they require high volumes of local anesthetics, carrying the risk of local anesthetic systemic toxicity. In this article, we present the case of a 41-year-old woman, who refused GA and was successfully operated on for bilateral breast cancer, under a spontaneous breathing opioid-free sedation and ultrasound-guided RA, based on only 0.2% levobupivacaine with the addition of dexamethasone and dexmedetomidine as adjuvants. Despite this, postoperative analgesia lasted for more than 48 hours, and the patient did not require additional analgesia or opioids.
Keywords: awake breast surgery; dexamethasone; dexmedetomidine; erector spinae plane (esp) block; opioid-free analgesia; parasternal block; serratus anterior plane (sap) block; spontaneous breathing sedation; synchronous bilateral breast cancer; ultrasound-guided regional anesthesia.
Copyright © 2024, Falso et al.
Conflict of interest statement
The authors have declared that no competing interests exist.
Figures



References
-
- Key Statistics for Breast Cancer. [ Mar; 2024 ]. 2024. https://www.cancer.org/cancer/types/breast-cancer/about/how-common-is-br... https://www.cancer.org/cancer/types/breast-cancer/about/how-common-is-br...
-
- Pain after breast surgery: etiology, diagnosis, and definitive management. Broyles JM, Tuffaha SH, Williams EH, Glickman L, George TA, Lee Dellon A. Microsurgery. 2016;36:535–538. - PubMed
Publication types
LinkOut - more resources
Full Text Sources
Miscellaneous