An Upper-Arm Clostridium perfringens Fracture-Related Infection: A Case Report
- PMID: 38758831
- PMCID: PMC11097945
- DOI: 10.2106/JBJS.CC.23.00497
An Upper-Arm Clostridium perfringens Fracture-Related Infection: A Case Report
Abstract
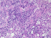
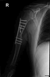
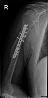
Fracture-related infections (FRI) pose serious complications, requiring swift surgical intervention. Although C. perfringens infections in FRIs are rare and literature is scarce, this case highlights the successful management and good functional outcome, offering valuable insights for clinicians dealing with such infections.
Copyright © 2024 The Authors. Published by The Journal of Bone and Joint Surgery, Incorporated. All rights reserved.
Conflict of interest statement
Disclosure: The Disclosure of Potential Conflicts of Interest forms are provided with the online version of the article (http://links.lww.com/JBJSCC/C352).
Figures
 
              
              
              
              
                
                
                 
              
              
              
              
                
                
                 
              
              
              
              
                
                
                 
              
              
              
              
                
                
                 
              
              
              
              
                
                
                 
              
              
              
              
                
                
                 
              
              
              
              
                
                
                References
- 
    - Stevens DL, Bryant AE, Goldstein EJ. Necrotizing soft tissue infections. Infect Dis Clin North Am. 2021;35(1):135-55. - PubMed
 
- 
    - Ibnoulkhatib A, Lacroix J, Moine A, Archambaud M, Bonnet E, Laffosse JM, CRIOAC-GSO. Post-traumatic bone and/or joint limb infections due to Clostridium spp. Orthop Traumatol Surg Res. 2012;98(6):696-705. - PubMed
 
- 
    - Metsemakers WJ, Morgenstern M, Senneville E, Borens O, Govaert GAM, Onsea J, Depypere M, Richards RG, Trampuz A, Verhofstad MHJ, Kates SL, Raschke M, McNally MA, Obremskey WT, Fracture-Related Infection (FRI) group. General treatment principles for fracture-related infection: recommendations from an international expert group. Arch Orthop Trauma Surg. 2020;140(8):1013-102. - PMC - PubMed
 
Publication types
MeSH terms
Substances
LinkOut - more resources
- Full Text Sources
 
        