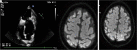
Huge Pseudoaneursym Presenting with Silent Myocardial Infarction and Stroke
- PMID: 38770697
- PMCID: PMC11168712
- DOI: 10.14744/AnatolJCardiol.2024.4431
Huge Pseudoaneursym Presenting with Silent Myocardial Infarction and Stroke
Conflict of interest statement
Figures

References
LinkOut - more resources
Full Text Sources