Skip to main page content
U.S. flag

An official website of the United States government

Dot gov

The .gov means it’s official.
Federal government websites often end in .gov or .mil. Before sharing sensitive information, make sure you’re on a federal government site.

Https

The site is secure.
The https:// ensures that you are connecting to the official website and that any information you provide is encrypted and transmitted securely.

Access keys NCBI Homepage MyNCBI Homepage Main Content Main Navigation
Review
. 2024 Dec;15(1):2350180.
doi: 10.1080/19491034.2024.2350180. Epub 2024 May 22.

Long non-coding RNAs: roles in cellular stress responses and epigenetic mechanisms regulating chromatin

Affiliations
Review

Long non-coding RNAs: roles in cellular stress responses and epigenetic mechanisms regulating chromatin

Jeffrey A Nickerson et al. Nucleus. 2024 Dec.

Abstract

Most of the genome is transcribed into RNA but only 2% of the sequence codes for proteins. Non-coding RNA transcripts include a very large number of long noncoding RNAs (lncRNAs). A growing number of identified lncRNAs operate in cellular stress responses, for example in response to hypoxia, genotoxic stress, and oxidative stress. Additionally, lncRNA plays important roles in epigenetic mechanisms operating at chromatin and in maintaining chromatin architecture. Here, we address three lncRNA topics that have had significant recent advances. The first is an emerging role for many lncRNAs in cellular stress responses. The second is the development of high throughput screening assays to develop causal relationships between lncRNAs across the genome with cellular functions. Finally, we turn to recent advances in understanding the role of lncRNAs in regulating chromatin architecture and epigenetics, advances that build on some of the earliest work linking RNA to chromatin architecture.

Keywords: Building RNA structures; RNP networks; chromatin architecture; genome-wide lncRNA screens; lncRNA; stress response.

PubMed Disclaimer

Conflict of interest statement

No potential conflict of interest was reported by the author(s).

Figures

Diagram of a subset of lncRNA molecular mechanisms operating in the nucleus or in the cytoplasm.
Figure 1.
Cytoplasmic and nuclear mechanisms for lncRNAs. This summarizes just a few of the molecular mechanisms by which lncRNAs can function. This figure was created with BioRender.com.
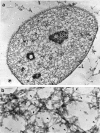
Electron micrographic comparison showing that the distribution of RNA, as detected by EDTA regressive staining is conserved after the removal of chromatin.
Figure 2.
The RNP network of the nucleus is well preserved after chromatin removal. Shown are epon sections of CaSki cervical carcinoma cells before (a) and after (b) the isolation of a crosslink stabilized nuclear matrix and selectively stained for RNA by the EDTA- regressive procedure [76] to visualize the RNP-network. The nuclear lamina (L) forms the periphery of the nucleus (panel A) and is retained in the nuclear matrix (panel B). The removal of chromatin after formaldehyde crosslinking does not substantially alter the structure or spatial distribution of the nuclear RNP network. (c) Higher magnification reveals well-preserved interchromatin granule clusters, enriched in RNA-splicing factors, in the RNP-network of the crosslink-stabilized nuclear matrix. The CaSki nuclear matrix in this panel was counterstained with an antibody recognizing the RNA-splicing factor SRm160 and a colloidal-gold-conjugated second antibody. The bar in panels a and B is 500 nm and in panel C the bar is 200 nm. This is from Figure 4 of Nickerson et al. [82].
Electron micrographs of the nucleus after crosslinking and then the removal of chromatin showing a peripheral nuclear lamina connected to an internal network of fibers.
Figure 3.
The RNP network of a CaSki cell isolated after crosslink-stabilization and chromatin removal. When visualized by resinless section electron microscopy. (a) The RNP network or nuclear matrix consists of two parts, the nuclear lamina (L) and a network of structured fibers connected to the lamina and well distributed through the nuclear volume. The matrices of nucleoli (nu) remain and are connected to the fibers of the internal nuclear matrix. Three remnant nucleoli may be seen in this section. (b) Seen at higher magnification, the highly structured fibers of an internal RNP-netork or nuclear matrix are constructed on an underlying structure of 10-nm filaments, which occasionally branch. These are seen most clearly when, for short stretches, they are free of covering material (arrowheads). The bar shown in panel a represents 1 µM, and in panel B it is 100 nm. This is from Figure 3 of Nickerson et al., 1997 [82].
Electron micrographs showing a nucleus with chromatin removed without a prior crosslinking step, revealing a network of branched 10nm filaments.
Figure 4.
The RNA-containing nuclear matrix from a HeLa cell when isolated without a cross-linking step before the removal of chromatin. The structure is constructed on a branched network of 10-nm core filaments that resemble filaments that form in phase-separated condensates of RNP proteins [169,177–179]. This high magnification view shows connections between core filaments (arrow) and the nuclear lamina (L). The bar is 100nM [180].

References

    1. Mattick JS, Amaral PP, Carninci P, et al. Long non-coding RNAs: definitions, functions, challenges and recommendations. Nat Rev Mol Cell Biol. 2023;24(6):430–25. doi: 10.1038/s41580-022-00566-8 - DOI - PMC - PubMed
    1. Rinn JL, Chang HY.. Long noncoding RNAs: molecular modalities to organismal functions. Annu Rev Biochem. 2020;89(1):283–308. doi: 10.1146/annurev-biochem-062917-012708 - DOI - PubMed
    1. Nickerson JA. The ribonucleoprotein network of the nucleus: a historical perspective. Curr Opin Genet Dev. 2022;75:101940. doi: 10.1016/j.gde.2022.101940 - DOI - PubMed
    1. Li Z, Liu L, Feng C, et al. LncBook 2.0: integrating human long non-coding RNAs with multi-omics annotations. Nucleic Acids Res. 2023;51(D1):D186–D191. doi: 10.1093/nar/gkac999 - DOI - PMC - PubMed
    1. Abe R, Yagi Y, Tani H. Identifying long non-coding RNA as potential indicators of bacterial stressin human cells. BPB Reports. 2023;6(6):226–228. doi: 10.1248/bpbreports.6.6_226 - DOI

LinkOut - more resources