An Atypical Presentation of Gonococcal Endocarditis
- PMID: 38774637
- PMCID: PMC11107455
- DOI: 10.1016/j.jaccas.2024.102370
An Atypical Presentation of Gonococcal Endocarditis
Abstract
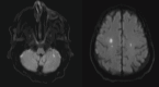
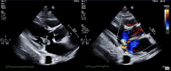
A 53-year-old male presented following cardiac arrest, followed by cardiopulmonary resuscitation. He was found to have myocardial infarction, bihemispheric cerebral embolization and mitral valve endocarditis. Mitral valve replacement was performed and Neisseria gonorrhoeae was detected on PCR. This case represents a valuable addition to the limited reports on gonococcal endocarditis.
Keywords: Neisseria gonorrhoea; cerebral embolization; endocarditis; valve replacement.
© 2024 The Authors.
Conflict of interest statement
The authors have reported that they have no relationships relevant to the contents of this paper to disclose.
Figures





References
-
- Mansheim B.J. Gonococcal endocarditis. South Med J. 1980;73:1645–1646. - PubMed
Publication types
LinkOut - more resources
Full Text Sources