Two Rare Complications of Post Myocardial Infarction: A Case Report
- PMID: 38779169
- PMCID: PMC11106628
- DOI: 10.6515/ACS.202405_40(3).20240129E
Two Rare Complications of Post Myocardial Infarction: A Case Report
Conflict of interest statement
All the authors declare no conflict of interest.
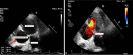
Figures


References
-
- Dubnow MH, Burchell HB, Titus JL. Postinfarction ventricular aneurysm. A clinicomorphologic and electrocardiographic study of 80 cases. Am Heart J. 1965;70:753–760. - PubMed
-
- Rao G, Zikria EA, Miller WH, et al. Experience with sixty consecutive ventricular aneurysm resections. Circulation. 1974;50(2 Suppl):II149–II153. - PubMed
-
- Gorlin R, Klein MD, Sullivan JM. Prospective correlative study of ventricular aneurysm. Mechanistic concept and clinical recognition. Am J Med. 1967;42:512–531. - PubMed
-
- Vlodaver Z, Coe JI, Edwards JE. True and false left ventricular aneurysms. Propensity for the altter to rupture. Circulation. 1975;51:567–572. - PubMed
LinkOut - more resources
Full Text Sources