Segmental Agenesis of the Corpus Callosum With Pituitary Hypoplasia
- PMID: 38779273
- PMCID: PMC11110639
- DOI: 10.7759/cureus.58727
Segmental Agenesis of the Corpus Callosum With Pituitary Hypoplasia
Abstract
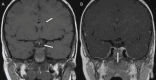
We report a 3-year-old male with findings of segmental agenesis of the corpus callosum, pituitary hypoplasia, and Chiari I malformation. The patient was born at 33 weeks and spent five weeks in the NICU for hypoglycemia, hypotension, and dyspnea. In infancy, the patient passed an adrenocorticotropic hormone stimulation test, while cortisol, growth hormone, and insulin-like growth factor levels were within reference range. Following height and weight percentile regression the patient underwent arginine and clonidine stimulation testing at 3 years of age, prompting pituitary evaluation via MRI. The results provided exemplary neuroimaging of segmental callosal agenesis, in which the genu and splenium form despite the absence of the callosal body. This finding adds support to a newer theory of embryological callosal development where progression does not occur linearly in the rosto-caudal direction.
Keywords: agenesis of the corpus callosum; congenital hypopituitarism; corpus callosum; hyposomatotropism; midline defect; septo-optic dysplasia.
Copyright © 2024, Haver et al.
Conflict of interest statement
The authors have declared that no competing interests exist.
Figures
 
              
              
              
              
                
                
                 
              
              
              
              
                
                
                References
- 
    - The corpus callosum, the other great forebrain commissures, and the septum pellucidum: anatomy, development, and malformation. Raybaud C. Neuroradiology. 2010;52:447–477. - PubMed
 
- 
    - Development of the corpus callosum and cavum septi in man. Rakic P, Yakovlev PI. J Comp Neurol. 1968;132:45–72. - PubMed
 
- 
    - When does human brain development end? Evidence of corpus callosum growth up to adulthood. Pujol J, Vendrell P, Junqué C, Martí-Vilalta JL, Capdevila A. Ann Neurol. 1993;34:71–75. - PubMed
 
- 
    - Establishment of hormone reference intervals for infants born <30 weeks' gestation. Greaves RF, Zacharin MR, Donath SM, Inder TE, Doyle LW, Hunt RW. Clin Biochem. 2014;47:101–108. - PubMed
 
Publication types
LinkOut - more resources
- Full Text Sources
