Dyskeratosis congenita: a rare case report
- PMID: 38784779
- PMCID: PMC11110863
- DOI: 10.1093/omcr/omae049
Dyskeratosis congenita: a rare case report
Abstract
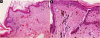
Dyskeratosis congenita (DKC) is a rare genetic disorder characterized by lacy reticular skin hyperpigmentation, bone marrow failure, nail dystrophy, and oral leukoplakia. To the best of our knowledge, only around 200 cases were reported in the medical literature, and in this report, we present another distinctive case from Syria. This case report describes a male patient with generalized reticular pigmentation and abnormal nails since childhood. The patient reported a history of recurrent urethral stenosis and corneal density. Dermoscopic examination revealed pigmented lines arranged in a netlike pattern. Histopathological findings were nonspecific. Hematological values were unremarkable. A contrast CT scan revealed changes in the bladder wall. The final diagnosis of Dyskeratosis Congenita was made based on the clinical criteria. This disorder can present with additional cutaneous manifestations and systemic complications. Treatment are generally prescribed to maintain bone marrow function, based on the fact that it is the major cause of death. Regular monitoring and screening for associated conditions are recommended.
Keywords: bone marrow failure; dyskeratosis congenita; hyperpigmentation; incontinent melanin; leukoplakia; nail dystrophy; telomerase.
© The Author(s) 2024. Published by Oxford University Press.
Conflict of interest statement
The authors declare no conflicts of interest.
Figures




References
-
- Dyskeratosis Congenita: Background, Pathophysiology, Epidemiology. Medscape.com. https://emedicine.medscape.com/article/1110516-overview (8 November 2019, date last accessed).
-
- Tummala H, Walne AJ, Dokal I. The biology and management of dyskeratosis congenita and related disorders of telomeres. Expert Rev Hematol 2022;15:685–96. - PubMed
-
- Bolognia JL, Schaffer JV, Cerroni L (Eds.) (2017). Dermatology: 2-Volume Set (4th ed.). Philadelphia, PA: Elsevier.
-
- Barker J, Bleiker TO, Chalmers R, Griffiths C EM, Creamer D (2016). Rook’s Textbook of Dermatology. John Wiley & Sons: Hoboken, NJ.
Publication types
LinkOut - more resources
Full Text Sources