High-Risk HPV CISH Detection in Cervical Biopsies with Weak and/or Focal p16 Immunohistochemical Positivity
- PMID: 38791395
- PMCID: PMC11121605
- DOI: 10.3390/ijms25105354
High-Risk HPV CISH Detection in Cervical Biopsies with Weak and/or Focal p16 Immunohistochemical Positivity
Abstract
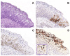
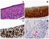
In cervical biopsies, for diagnosis of Human Papilloma Virus (HPV) related conditions, the immunohistochemical staining for p16 has a diagnostic value only if diffusely and strongly positive, pattern named "block-like". "Weak and/or focal (w/f) p16 expression" is commonly considered nonspecific. In our previous study, we demonstrated the presence of high-risk HPV (hrHPV) DNA by LiPa method in biopsies showing w/f p16 positivity. The aim of the present study was to investigate the presence of hrHPV-DNA by CISH in the areas showing w/f p16 expression. We assessed the presence of hrHPV16, 18, 31, 33, 51 by CISH in a group of 20 cervical biopsies showing w/f p16 expression, some with increased Ki67, and in 10 cases of block-like expression, employed as control. The immunohistochemical p16 expression was also assessed by digital pathology. hrHPV-CISH nuclear positivity was encountered in 12/20 cases of w/f p16 expression (60%). Different patterns of nuclear positivity were identified, classified as punctate, diffuse and mixed, with different epithelial distributions. Our results, albeit in a limited casuistry, show the presence of HPV in an integrated status highlighted by CISH in w/f p16 positive cases. This could suggest the necessity of a careful follow-up of the patients with "weak" and/or "focal" immunohistochemical patterns of p16, mainly in cases of increased Ki67 cell proliferation index, supplemented with molecular biology examinations.
Keywords: CISH; high-risk HPV; immunohistochemistry; in situ hybridization; p16.
Conflict of interest statement
The authors declare no conflicts of interest. The funders had no role in the design of the study; in the collection, analyses, or interpretation of data; in the writing of the manuscript; or in the decision to publish the results.
Figures







References
-
- Partridge J.M., Hughes J.P., Feng Q., Winer R.L., Weaver B.A., Xi L.F., Stern M.E., Lee S., O’reilly S.F., Hawes S.E., et al. Genital human papillomavirus infection in men: Incidence and risk factors in a cohort of university students. J. Infect. Dis. 2007;196:1128–1136. doi: 10.1086/521192. - DOI - PubMed
MeSH terms
Substances
LinkOut - more resources
Full Text Sources
Miscellaneous