A Pathophysiological Approach to Spontaneous Orbital Meningoceles: Case Report and Systematic Review
- PMID: 38793047
- PMCID: PMC11122061
- DOI: 10.3390/jpm14050465
A Pathophysiological Approach to Spontaneous Orbital Meningoceles: Case Report and Systematic Review
Abstract
Background: Spontaneous orbital cephaloceles are a rare condition. The purpose of this study is to provide a description of a clinical case and to carry out a systematic literature review.
Methods: A systematic review of the English literature published on the Pubmed, Scopus, and Web of Science databases was conducted, according to the PRISMA recommendations.
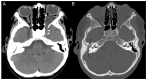
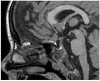
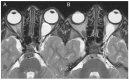
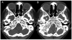
Results: A 6-year-old patient was admitted for right otomastoiditis and thrombosis of the sigmoid and transverse sinuses, as well as the proximal portion of the internal jugular vein. Radiological examinations revealed a left orbital mass (22 × 14 mm) compatible with asymptomatic orbital meningocele (MC) herniated from the superior orbital fissure (SOF). The child underwent a right mastoidectomy. After the development of symptoms and signs of intracranial hypertension (ICH), endovascular thrombectomy and transverse sinus stenting were performed, with improvement of the clinical conditions and reduction of the orbital MC. The systematic literature review encompassed 29 publications on 43 patients with spontaneous orbital MC. In the majority of cases, surgery was the preferred treatment.
Conclusions: The present case report and systematic review highlight the importance of ICH investigation and a pathophysiological-oriented treatment approach. The experiences described in the literature are limited, making the collection of additional data paramount.
Keywords: intracranial hypertension; meningocele; meningoencephalocele; orbit; skull base.
Conflict of interest statement
The authors declare no conflicts of interest.
Figures
 
              
              
              
              
                
                
                 
              
              
              
              
                
                
                 
              
              
              
              
                
                
                 
              
              
              
              
                
                
                 
              
              
              
              
                
                
                 
              
              
              
              
                
                
                 
              
              
              
              
                
                
                 
              
              
              
              
                
                
                 
              
              
              
              
                
                
                 
              
              
              
              
                
                
                References
- 
    - Flint P.W., Haughey B.H., Lund V.J., Robbins K.T., Thomas J.R., Lesperance M.M., Francis H.W. Cummings Otolaryngology–International Edition: Head and Neck Surgery. [(accessed on 19 January 2024)];2020 Volume 7:1323–1344. Available online: https://www.worldcat.org/title/1239324944.
 
Publication types
LinkOut - more resources
- Full Text Sources
 
        