Current Practice: Rationale for Screening Children with Hereditary Hemorrhagic Telangiectasia for Brain Vascular Malformations
- PMID: 38816017
- PMCID: PMC11392374
- DOI: 10.3174/ajnr.A8195
Current Practice: Rationale for Screening Children with Hereditary Hemorrhagic Telangiectasia for Brain Vascular Malformations
Abstract
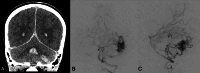
Background: Hereditary hemorrhagic telangiectasia is an autosomal dominant vascular dysplasia characterized by mucocutaneous telangiectasias, recurrent epistaxis, and organ vascular malformations including in the brain, which occur in about 10% of patients. These brain vascular malformations include high-flow AVMs and AVFs as well as low-flow capillary malformations. High-flow lesions can rupture, causing neurologic morbidity and mortality.
State of practice: International guidelines for the diagnosis and management of hereditary hemorrhagic telangiectasia recommend screening children for brain vascular malformations with contrast enhanced MR imaging at hereditary hemorrhagic telangiectasia diagnosis. Screening has not been uniformly adopted by some practitioners who contend that screening is not justified. Arguments against screening include application of short-term data from the adult A Randomized Trial of Unruptured Brain Arteriovenous Malformations (ARUBA) trial of unruptured sporadic brain AVMs to children with hereditary hemorrhagic telangiectasia as well as concerns about administration of sedation or IV contrast and causing patients or families increased anxiety.
Analysis: In this article, a multidisciplinary group of experts on hereditary hemorrhagic telangiectasia reviewed data that support screening guidelines and counter arguments against screening. Children with hereditary hemorrhagic telangiectasia have a preponderance of high-flow lesions including AVFs, which have the highest rupture risk. The rupture risk among children is estimated at about 0.7% per lesion per year and is additive across lesions and during a lifetime. ARUBA, an adult clinical trial of expectant medical management versus treatment of unruptured brain AVMs, favored medical management at 5 years but is not applicable to pediatric patients with hereditary hemorrhagic telangiectasia given the life expectancy of a child. Additionally, interventional, radiosurgical, and surgical techniques have improved with time. Experienced neurovascular experts can prospectively determine the best treatment for each child on the basis of local resources. The "watch and wait" approach to imaging means that children with brain vascular malformations will not be identified until a potentially life-threatening and deficit-producing intracerebral hemorrhage occurs. This expert group does not deem this to be an acceptable trade-off.
© 2024 by American Journal of Neuroradiology.
Figures




References
Publication types
MeSH terms
LinkOut - more resources
Full Text Sources
Research Materials