Skip to main page content
U.S. flag

An official website of the United States government

Dot gov

The .gov means it’s official.
Federal government websites often end in .gov or .mil. Before sharing sensitive information, make sure you’re on a federal government site.

Https

The site is secure.
The https:// ensures that you are connecting to the official website and that any information you provide is encrypted and transmitted securely.

Access keys NCBI Homepage MyNCBI Homepage Main Content Main Navigation
Case Reports
. 2024 May 15;16(5):e60347.
doi: 10.7759/cureus.60347. eCollection 2024 May.

A Case of Metastatic Melanoma Post Orthotopic Liver Transplantation

Affiliations
Case Reports

A Case of Metastatic Melanoma Post Orthotopic Liver Transplantation

Samantha Ortiz Muriel et al. Cureus. .

Abstract

With the rising prevalence of organ transplantation, clinicians must be aware of the many potential complications that may arise. One such complication is post-transplantation melanoma. Herein, we present a case of advanced metastatic melanoma following orthotopic liver transplantation (OLT). This is a 54-year-old cirrhotic male who underwent OLT that was complicated by metastatic melanoma. Despite adherence to yearly screening guidelines and timely radiation and immunotherapy, the disease course was rapidly progressive and fatal. This case aims to highlight the risk of post-transplantation melanoma and the potential need for screening modifications to identify melanoma earlier in its development. The association between organ transplantation and melanoma is well-reported, but the underlying risks and mechanisms remain incompletely understood. One potential risk factor is post-transplant immunosuppressive therapy, which may result in fatally aggressive melanoma. Understanding the potential mortality risks in transplant patients, modifications to peri-transplant screening guidelines, and immunosuppressive therapy may be lifesaving.

Keywords: immunosuppressive therapy; olt; orthotopic liver transplantation; peri-transplant screening guidelines; post-transplantation melanoma.

PubMed Disclaimer

Conflict of interest statement

The authors have declared that no competing interests exist.

Figures

Figure 1
Figure 1. Pigmented skin lesions characterized by irregular borders.
Figure 2
Figure 2. Scanning PET/CT scan.
PET/CT showing innumerable hypermetabolic lesions in the cutaneous surfaces with multiple hypermetabolic osseous and intramuscular lesions throughout the axial and appendicular regions. Additionally, there are hypermetabolic lesions in the brain, thoracic and lumbar spine, pulmonary tissue, salivary glands, heart, bowels, liver, spleen, bilateral adrenal glands, pancreas, and peritoneum and throughout the abdominal wall.
Figure 3
Figure 3. Brain MRI revealing multiple heterogeneously enhancing metastatic lesions.
Figure 4
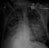
Figure 4. Chest X-ray revealing diffuse pulmonary opacities.

References

    1. Data and trends. [ Oct; 2023 ]. 2023. https://unos.org/data/ https://unos.org/data/
    1. Risk of malignancy with long-term immunosuppression in renal transplant recipients. Agraharkar ML, Cinclair RD, Kuo YF, Daller JA, Shahinian VB. Kidney Int. 2004;66:383–389. - PubMed
    1. A population-based study of skin cancer incidence and prevalence in renal transplant recipients. Moloney FJ, Comber H, O'Lorcain P, O'Kelly P, Conlon PJ, Murphy GM. Br J Dermatol. 2006;154:498–504. - PubMed
    1. Initial skin cancer screening for solid organ transplant recipients in the United States: Delphi method development of expert consensus guidelines. Crow LD, Jambusaria-Pahlajani A, Chung CL, et al. Transpl Int. 2019;32:1268–1276. - PubMed
    1. Incidence of melanoma in organ transplant recipients in Alberta, Canada. Tran M, Sander M, Ravani P, Mydlarski PR. Clin Transplant. 2016;30:1271–1275. - PubMed

Publication types

LinkOut - more resources