Skip to main page content
U.S. flag

An official website of the United States government

Dot gov

The .gov means it’s official.
Federal government websites often end in .gov or .mil. Before sharing sensitive information, make sure you’re on a federal government site.

Https

The site is secure.
The https:// ensures that you are connecting to the official website and that any information you provide is encrypted and transmitted securely.

Access keys NCBI Homepage MyNCBI Homepage Main Content Main Navigation
. 2024 Jun 16;5(3):e13215.
doi: 10.1002/emp2.13215. eCollection 2024 Jun.

Man with bedsores

Affiliations

Man with bedsores

Hiroyuki Shirahige et al. J Am Coll Emerg Physicians Open. .
No abstract available

PubMed Disclaimer

Figures

FIGURE 1
FIGURE 1
Examination of the right chest on admission. (A and B) The epidermis formed a bedsore, which was easily destroyed by friction. (C) When the bedsore was debrided, the intercostal muscles were necrotic, and pus oozed from within the thoracic cavity.
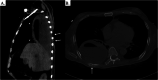
FIGURE 2
FIGURE 2
Plain chest computed tomography (CT) images. (A) Sagittal chest CT image showing dissolution of the intercostal muscles at the bedsore site (arrows) with a gravity‐dependent fluid level indicating the presence of both liquid and air. A thickened necrotic chest wall (arrowheads) demarcated the lung from the empyema cavity. (B) Axial image exhibiting osteosclerosis of the rib and an irregularity of cortical bone (arrow) as a result of inflammatory spillover.

References

    1. Robinson DA, Cross GD, Singh R. Complications of a pressure sore of the chest wall: case report. Paraplegia. 1988;26:355‐358. doi:10.1038/sc.1988.50 - DOI - PubMed