Pathogenesis of Hemophagocytic Lymphohistiocytosis/Macrophage Activation Syndrome: A Case Report and Review of the Literature
- PMID: 38892108
- PMCID: PMC11173133
- DOI: 10.3390/ijms25115921
Pathogenesis of Hemophagocytic Lymphohistiocytosis/Macrophage Activation Syndrome: A Case Report and Review of the Literature
Abstract
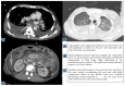
Hemophagocytic lymphohistiocytosis (HLH) is a life-threatening condition characterized by the uncontrolled activation of cytotoxic T lymphocytes, NK cells, and macrophages, resulting in an overproduction of pro-inflammatory cytokines. A primary and a secondary form are distinguished depending on whether or not it is associated with hematologic, infectious, or immune-mediated disease. Clinical manifestations include fever, splenomegaly, neurological changes, coagulopathy, hepatic dysfunction, cytopenia, hypertriglyceridemia, hyperferritinemia, and hemophagocytosis. In adults, therapy, although aggressive, is often unsuccessful. We report the case of a 41-year-old man with no apparent history of previous disease and an acute onset characterized by fever, fatigue, and weight loss. The man was from Burkina Faso and had made trips to his home country in the previous five months. On admission, leukopenia, thrombocytopenia, increased creatinine and transaminases, LDH, and CRP with a normal ESR were found. The patient also presented with hypertriglyceridemia and hyperferritinemia. An infectious or autoimmune etiology was ruled out. A total body CT scan showed bilateral pleural effusion and hilar mesenterial, abdominal, and paratracheal lymphadenopathy. Lymphoproliferative disease with HLH complication was therefore suspected. High doses of glucocorticoids were then administered. A cytologic analysis of the pleural effusion showed anaplastic lymphoma cells and bone marrow aspirate showed hemophagocytosis. An Epstein-Barr Virus (EBV) DNA load of more than 90000 copies/mL was found. Bone marrow biopsy showed a marrow localization of peripheral T lymphoma. The course was rapidly progressive until the patient died. HLH is a rare but usually fatal complication in adults of hematologic, autoimmune, and malignant diseases. Very early diagnosis and treatment are critical but not always sufficient to save patients.
Keywords: T lymphoma; hemophagocytic lymphohistiocytosis; macrophage activation syndrome.
Conflict of interest statement
The authors declare no conflicts of interest.
Figures
References
Publication types
MeSH terms
LinkOut - more resources
Full Text Sources
Research Materials
Miscellaneous
