Skip to main page content
U.S. flag

An official website of the United States government

Dot gov

The .gov means it’s official.
Federal government websites often end in .gov or .mil. Before sharing sensitive information, make sure you’re on a federal government site.

Https

The site is secure.
The https:// ensures that you are connecting to the official website and that any information you provide is encrypted and transmitted securely.

Access keys NCBI Homepage MyNCBI Homepage Main Content Main Navigation
Case Reports
. 2024 May 22;16(5):e60868.
doi: 10.7759/cureus.60868. eCollection 2024 May.

When Ascites Is Not Ascites!

Affiliations
Case Reports

When Ascites Is Not Ascites!

Mei Yang et al. Cureus. .

Abstract

Patients presenting with ascites should be properly evaluated to differentiate potential etiologies. Then, based on the evaluation, we can tailor more accurate treatment plans for patients. Cirrhosis is the most common cause, and others include cancer, heart failure, and, in our case, rarely a visceral artery rupture. Rupture of the splenic artery aneurysm can be lethal and should be considered as a possible differential in a patient with no previous history of heart failure, cancer, or cirrhosis. Our patient was identified after an initial misdiagnosis of possible ascites secondary to cirrhosis. However, input from an interventional radiologist led to proper identification and tailored management. Early treatment is crucial to prevent complications, including death.

Keywords: aneurysm; ascites; embolization; hemorrhagic shock; ruptured; splenic artery; splenic artery aneurysm; visceral artery; visceral artery aneurysms; visceral artery rupture.

PubMed Disclaimer

Conflict of interest statement

The authors have declared that no competing interests exist.

Figures

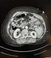
Figure 1
Figure 1. Splenic artery aneurysm (short arrow) and hemorrhage (long arrow)
Figure 2
Figure 2. Angiogram showing two splenic artery aneurysms. The right arrow is the ruptured splenic artery aneurysm
Figure 3
Figure 3. Statue-post coiling of the splenic artery aneurysm

References

    1. Splenic artery aneurysms: two decades experience at Mayo clinic. Abbas MA, Stone WM, Fowl RJ, et al. Ann Vasc Surg. 2002;16:442–449. - PubMed
    1. Splenic artery aneurysms. Trastek VF, Pairolero PC, Joyce JW, Hollier LH, Bernatz PE. https://pubmed.ncbi.nlm.nih.gov/7079972/ Surgery. 1982;91:694–699. - PubMed
    1. The serum-ascites albumin gradient is superior to the exudate-transudate concept in the differential diagnosis of ascites. Runyon BA, Montano AA, Akriviadis EA, Antillon MR, Irving MA, McHutchison JG. Ann Intern Med. 1992;117:215–220. - PubMed
    1. Themes Themes, U. F. O. (2019, January 22. Peritoneal Fluid Collections, Peritonitis, and Peritoneal Abscess. Radiology Key.
    1. Kassem M, Gonzalez L. StatPearls Publishing; [ Jul; 2024 ]. 2022. Splenic Artery Aneurysm. - PubMed

Publication types

LinkOut - more resources