Necrotizing Fasciitis Masquerading as Stroke: A Diagnostic Dilemma
- PMID: 38910763
- PMCID: PMC11192442
- DOI: 10.7759/cureus.60870
Necrotizing Fasciitis Masquerading as Stroke: A Diagnostic Dilemma
Abstract
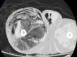
Necrotizing fasciitis (NF) poses a diagnostic challenge due to its rarity and similarity in presentation with other critical conditions. We report a case of a 79-year-old male who initially presented with altered mental status and stroke-like symptoms; he was ultimately diagnosed with abdominal wall NF spreading to the lower extremity. Despite a history of cecal mass perforation noted in prior imaging, the patient had been discharged from an outside emergency room on antibiotics, highlighting a missed opportunity for early intervention. Subsequent deterioration led to sepsis, organ failure, and ultimately, the detection of NF. Prompt recognition of subtle skin changes and laboratory abnormalities, along with a detailed physical examination, is essential for a timely and accurate diagnosis. Surgical debridement, coupled with broad-spectrum antibiotics, remains the cornerstone of treatment. Delays in surgical management significantly increase mortality, emphasizing the importance of prompt diagnosis and intervention. This case underscores the necessity for heightened awareness among healthcare providers to recognize NF promptly, especially when its clinical presentation overlaps with other critical conditions. Multidisciplinary collaboration and continued education are imperative to improve outcomes and prevent delays in the diagnosis and treatment of NF.
Keywords: abdominal wall necrotizing fasciitis; acute care surgery and trauma; cecal perforation; emergent general surgery; necrotizing fasciitis management.
Copyright © 2024, Locklear et al.
Conflict of interest statement
The authors have declared that no competing interests exist.
Figures






References
-
- Cervical necrotizing fasciitis, diagnosis and treatment of a rare life-threatening infection. Hua J, Friedlander P. Ear Nose Throat J. 2023;102:0–13. - PubMed
-
- Necrotising fasciitis. Diab J, Bannan A, Pollitt T. BMJ. 2020;369:0. - PubMed
-
- Bacteriology of necrotizing fasciitis. Giuliano A, Lewis F Jr, Hadley K, Blaisdell FW. Am J Surg. 1977;134:52–57. - PubMed
-
- Necrotizing fasciitis. Green RJ, Dafoe DC, Raffin TA. Chest. 1996;110:219–229. - PubMed
Publication types
LinkOut - more resources
Full Text Sources