Mirror Foot: Surgical Approach for Esthetic and Functional Improvement
- PMID: 38911886
- PMCID: PMC11193576
- DOI: 10.1055/s-0042-1742341
Mirror Foot: Surgical Approach for Esthetic and Functional Improvement
Abstract
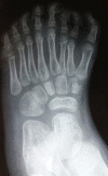
Mirror foot is a rare congenital anomaly on to the spectrum of complex foot polydactyly. It may occur in isolation or associated with other malformations or genetic syndromes. This is a subject little described in the literature, with few publications on its treatment. We herein report the case of a 4-year-old female patient who presented with a left foot with 8 fingers, without other associated deformities, whose complaints included the impossibility of wearing shoes and social stigma. Radiographically, eight metatarsi with their respective phalanges, five cuneiform bones, and absence of bone deformities in the hindfoot were verified. The surgical approach was chosen in order to promote functional and esthetic improvement, as well as a better adaptation to the use of closed shoes, according to the patient's and family's desire. A dorsal and plantar V incision was performed, with resection of three supranumerary rays, including three central metatarsi with their nine corresponding phalanges, two cuneiform bones, tendons and extra digital nerves, followed by suture of the intermetatarsal ligaments, preserving the fingers with normal appearance, decreasing the width of the foot, and maintaining proper support. The reduction was maintained through transmetatarsal fixation with Kirschner wires. The postoperative period went on with the use of a walking boot and zero load, without complications, with removal o the Kirschner wires and allowing load on the limb after twelve weeks.
Keywords: bone wires; congenital foot deformities; polydactyly.
The Author(s). This is an open access article published by Thieme under the terms of the Creative Commons Attribution 4.0 International License, permitting copying and reproduction so long as the original work is given appropriate credit ( https://creativecommons.org/licenses/by/4.0/ ).
Conflict of interest statement
Conflito de Interesses Os autores declaram não haver conflito de interesses.
Figures










References
-
- Skoll P J, Silfen R, Hudson D A, Bloch C E. Mirror foot. Plast Reconstr Surg. 2000;105(06):2086–2088. - PubMed
-
- Lee H S, Park S S, Yoon J O, Kim J S, Youm Y S. Classification of postaxial polydactyly of the foot. Foot Ankle Int. 2006;27(05):356–362. - PubMed
-
- Sudesh P, Kumar V, Jain M, Patel S. Mirror foot and our surgical experience: a case report and literature review. Foot. 2010;20(01):44–45. - PubMed
LinkOut - more resources
Full Text Sources