Abdominal Parietal Metastasis from Cervical Cancer: A Review of One of the Most Uncommon Sites of Recurrence Including a Report of a New Case
- PMID: 38929651
- PMCID: PMC11204997
- DOI: 10.3390/life14060667
Abdominal Parietal Metastasis from Cervical Cancer: A Review of One of the Most Uncommon Sites of Recurrence Including a Report of a New Case
Abstract
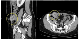
Cervical cancer is the fourth most common cancer in women, the highest mortality being found in low- and middle-income countries. Abdominal parietal metastases in cervical cancer are a very rare entity, with an incidence of 0.1-1.3%, and represent an unfavorable prognostic factor with the survival rate falling to 17%. Here, we present a review of cases of abdominal parietal metastasis in recent decades, including a new case of a 4.5 cm abdominal parietal metastasis at the site of the scar of the former drain tube 28 months after diagnosis of stage IIB cervical cancer (adenosquamous carcinoma), treated by external radiotherapy with concurrent chemotherapy and intracavitary brachytherapy and subsequent surgery (type B radical hysterectomy). The tumor was resected within oncological limits with the histopathological result of adenosquamous carcinoma. The case study highlights the importance of early detection and appropriate treatment of metastases in patients with cervical cancer. The discussion explores the potential pathways for parietal metastasis and the impact of incomplete surgical procedures on the development of metastases. The conclusion emphasizes the poor prognosis associated with this type of metastasis in cervical cancer patients and the potential benefits of surgical resection associated with systemic therapy in improving survival rates.
Keywords: HPV; cervical cancer; hysterectomy; lymph node; metastasis; parietal; radiotherapy.
Conflict of interest statement
The authors declare no conflict of interest.
Figures







References
-
- Gilles C., Konopnicki D., Rozenberg S. The Recent Natural History of Human Papillomavirus Cervical Infection in Women Living with HIV: A Scoping Review of Meta-analyses and Systematic Reviews and the Construction of a Hypothetical Model. HIV Med. 2023;24:877–892. doi: 10.1111/hiv.13490. - DOI - PubMed
Publication types
LinkOut - more resources
Full Text Sources