Tacrolimus-induced posterior reversible encephalopathy syndrome following liver transplantation
- PMID: 38947962
- PMCID: PMC11212591
- DOI: 10.5500/wjt.v14.i2.91146
Tacrolimus-induced posterior reversible encephalopathy syndrome following liver transplantation
Abstract
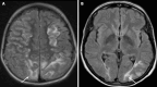
In this editorial, we talk about a compelling case focusing on posterior reversible encephalopathy syndrome (PRES) as a complication in patients undergoing liver transplantation and treated with Tacrolimus. Tacrolimus (FK 506), derived from Streptomyces tsukubaensis, is a potent immunosuppressive macrolide. It inhibits T-cell transcription by binding to FK-binding protein, and is able to amplify glucocorticoid and progesterone effects. Tacrolimus effectively prevents allograft rejection in transplant patients but has adverse effects such as Tacrolimus-related PRES. PRES presents with various neurological symptoms alongside elevated blood pressure, and is primarily characterized by vasogenic edema on neuroimaging. While computed tomography detects initial lesions, magnetic resonance imaging, especially the Fluid-Attenuated Inversion Recovery sequence, is superior for diagnosing cortical and subcortical edema. Our discussion centers on the incidence of PRES in solid organ transplant recipients, which ranges between 0.5 to 5 +ACU-, with varying presentations, from seizures to visual disturbances. The case of a 66-year-old male status post liver transplantation highlights the diagnostic and management challenges associated with Tacrolimus-related PRES. Radiographically evident in the parietal and occipital lobes, PRES underlines the need for heightened vigilance among healthcare providers. This editorial emphasizes the importance of early recognition, accurate diagnosis, and effective management of PRES to optimize outcomes in liver transplant patients. The case further explores the balance between the efficacy of immunosuppression with Tacrolimus and its potential neurological risks, underlining the necessity for careful monitoring and intervention strategies in this patient population.
Keywords: Immunocompromised patients; Liver transplantation; Neurological complications; Posterior reversible encephalopathy syndrome; Solid organ transplant; Tacrolimus.
©The Author(s) 2024. Published by Baishideng Publishing Group Inc. All rights reserved.
Conflict of interest statement
Conflict-of-interest statement: No conflicts of interests.
Figures
References
-
- Hooks MA. Tacrolimus, a new immunosuppressant--a review of the literature. Ann Pharmacother. 1994;28:501–511. - PubMed
-
- Thomson AW, Bonham CA, Zeevi A. Mode of action of tacrolimus (FK506): molecular and cellular mechanisms. Ther Drug Monit. 1995;17:584–591. - PubMed
-
- Vanhove T, Annaert P, Kuypers DR. Clinical determinants of calcineurin inhibitor disposition: a mechanistic review. Drug Metab Rev. 2016;48:88–112. - PubMed
Publication types
LinkOut - more resources
Full Text Sources
