Neuroendocrine neoplasms of the breast: a review of literature
- PMID: 38980337
- PMCID: PMC11329594
- DOI: 10.1007/s00428-024-03856-y
Neuroendocrine neoplasms of the breast: a review of literature
Abstract
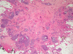
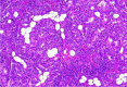
Primary neuroendocrine neoplasms (NENs) of the breast are characterized by neuroendocrine architectural and cytological features, which must be supported by immunohistochemical positivity for neuroendocrine markers (such as Chromogranin and Synaptophysin). According to the literature, making a diagnosis of primary neuroendocrine breast cancer always needs to rule out a possible primary neuroendocrine neoplasm from another site. Currently, the latest 2022 version of the WHO of endocrine and neuroendocrine neoplasms has classified breast NENs as well-differentiated neuroendocrine tumours (NETs) and aggressive neuroendocrine carcinomas (NECs), differentiating them from invasive breast cancers of no special type (IBCs-NST). with neuroendocrine features. The current review article describes six cases from our series and a comprehensive review of the literature in the field of NENs of the breast.
Keywords: Histology; Immunohistochemistry; Neuroendocrine neoplasms; Personalized medicine.
© 2024. The Author(s).
Conflict of interest statement
The authors declare no competing interests.
Figures
References
-
- Board WCoTE (2019) Breast tumours , WHO classification of tumors, 5nd edn. World Health Organization, Geneva, pp 1–28
Publication types
MeSH terms
Substances
LinkOut - more resources
Full Text Sources
Medical
