Acquired epidermodysplasia verruciformis syndrome in HIV-infected patients: a systematic review
- PMID: 39001899
- PMCID: PMC11246255
- DOI: 10.1007/s00403-024-03016-x
Acquired epidermodysplasia verruciformis syndrome in HIV-infected patients: a systematic review
Abstract
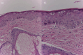
Congenital epidermodysplasia verruciformis (CEV) is a Genodermatosis linked to different inheritance patterns and mutations of the EVER1/TMC6 and EVER2/TMC8 genes. There is an acquired form (AEV) associated with immunodeficiency states, including human immunodeficiency virus (HIV) infection; however, the literature about AEV is limited and imprecise, so a systematic review was performed. A search of the main databases from 1975 to 2021 identified 126 studies, of which 80 met the inclusion criteria. The diagnosis of AEV is complex due to atypical manifestations and locations, it requires a mean follow-up of 7 years, and the lesions do not change with ART therapy, CD4 count, or viral load. Histopathological findings are variable depending on the location of the lesions. HPV 5 remains the serotype most frequently associated with AEV and CEV, although HPV 20 is more frequent than HPV 8 in AEV. Most treatments have low efficacy, the most described are glycolic acid 15%, 5-fluorouracil 5%, imiquimod 5%, and topical retinoids all of them in monotherapy or combined with cryotherapy. Other alternatives include topical cidofovir and systemic retinoids with variable results. The oncologic prognosis is still inconclusive; however, the development of squamous cell carcinoma and melanoma are frankly lower concerning CEV. This review opens new opportunities for future research. Additionally, we provide clear and useful key points for the practice of dermatologists and all professionals treating HIV patients around the world.
Keywords: Epidermodysplasia verruciformis; HIV; HPV; Skin cancer.
© 2024. The Author(s).
Conflict of interest statement
The authors declare no competing interests.
Figures


References
-
- Moore RL, de Schaetzen V, Joseph M et al (2012) Acquired epidermodysplasia verruciformis syndrome in HIV infected pediatric patients: prospective treatment trial with topical glycolic acid and human papillomavirus genotype characterization. Arch Dermatol 148:128–130 10.1001/archdermatol.2011.268 - DOI - PubMed
-
- Martí N, Reig I, Monteagudo C (2010) Epidermodisplasia Verruciforme adquirida asociada a infección VIH. Piel 25:447–449 10.1016/j.piel.2010.04.024 - DOI
Publication types
MeSH terms
Substances
LinkOut - more resources
Full Text Sources
Medical
Research Materials
Miscellaneous