Consensus paper on the management of acute isolated vertigo in the emergency department
- PMID: 39001977
- PMCID: PMC11364714
- DOI: 10.1007/s11739-024-03664-x
Consensus paper on the management of acute isolated vertigo in the emergency department
Abstract
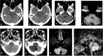
Acute vertigo is defined as the perception of movement of oneself or the surroundings in the absence of actual motion and it is a frequent cause for emergency department admissions. The utilization of medical resources and the duration of hospital stay for this kind of symptom is high. Furthermore, the efficiency of brain imaging in the acute phase is low, considering the limited sensitivity of both CT and MRI for diagnosing diseases that are the causes of central type of vertigo. Relying on imaging tests can provide false reassurance in the event of negative results or prolong the in-hospital work-up improperly. On the other hand, clinical examinations, notably the assessment of nystagmus' features, have proven to be highly accurate and efficient when performed by experts. Literature data point out that emergency physicians often do not employ these skills or use them incorrectly. Several clinical algorithms have been introduced in recent years with the aim of enhancing the diagnostic accuracy of emergency physicians when evaluating this specific pathology. Both the 'HINTS and 'STANDING' algorithms have undergone external validation in emergency physician hands, showing good diagnostic accuracy. The objective of this consensus document is to provide scientific evidence supporting the clinical decisions made by physicians assessing adult patients with acute vertigo in the emergency department, particularly in cases without clear associated neurological signs. The document aims to offer a straightforward and multidisciplinary approach. At the same time, it tries to delineate benchmarks for the formulation of local diagnostic and therapeutic pathways, as well as provide a base for the development of training and research initiatives.
Keywords: Acute peripheral vestibular dysfunction; Benign paroxysmal positional vertigo; Dizziness; Emergency Medicine; HINTS; Ischemic stroke; Nystagmus; STANDING; Vertigo.
© 2024. The Author(s).
Figures









References
-
- Chang AK et al. (2004) A randomized clinical trial to assess the efficacy of the Epley maneuver in the treatment of acute benign positional vertigo. Acad Emerg Med 11(9):918–924 - PubMed
MeSH terms
LinkOut - more resources
Full Text Sources
Medical