Mesenteric Panniculitis
- PMID: 39015257
- PMCID: PMC11250460
- DOI: 10.1159/000539432
Mesenteric Panniculitis
Abstract
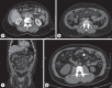
Background: Mesenteric panniculitis (MP) is an uncommon non-neoplastic idiopathic inflammation of adipose tissue, mainly affecting the mesentery of the small intestine, with its etiology remaining largely speculative. The difference in prevalence of MP among females and males varies across multiple studies. In most cases, MP is asymptomatic; however, patients can present with nonspecific abdominal symptoms or can mimic underlying gastrointestinal and abdominal diseases. The diagnosis is suggested by computed tomography and is usually confirmed by surgical biopsies if necessary. Treatment is generally supportive and based on a few selected drugs, namely, nonsteroidal anti-inflammatory drugs or corticosteroids. Surgery is reserved when the diagnosis is unclear, when malignancy is suspected or in the case of severe presentation such as mass effect, bowel obstruction, or ischemic changes.
Summary: MP is a rare inflammatory condition of the mesentery often asymptomatic but can cause nonspecific abdominal symptoms. Diagnosis relies on computed tomography imaging, with treatment mainly supportive, utilizing medications like nonsteroidal anti-inflammatory drugs or corticosteroids, while surgery is reserved for severe cases or diagnostic uncertainty.
Key messages: MP causes abdominal pain, and it is mainly diagnosed with CT scan.
Keywords: Computed tomography; Mesenteric panniculitis; Mesentery.
© 2024 The Author(s). Published by S. Karger AG, Basel.
Conflict of interest statement
The authors have no conflicts of interest to declare.
Figures


References
-
- Jura V. Sulla mesenterite retrattile e sclerosante. Policlinico. 1924;31:575–81.
-
- Emory TS, Monihan JM, Carr NJ, Sobin LH. Sclerosing mesenteritis, mesenteric panniculitis and mesenteric lipodystrophy: a single entity? Am J Surg Pathol. 1997;21(4):392–8. - PubMed
-
- Sharma P, Yadav S, Needham CM, Feuerstadt P. Sclerosing mesenteritis: a systematic review of 192 cases. Clin J Gastroenterol. 2017;10(2):103–11. - PubMed
-
- Danford CJ, Lin SC, Wolf JL. Sclerosing mesenteritis. Am J Gastroenterol. 2019;114(6):867–73. - PubMed
Publication types
LinkOut - more resources
Full Text Sources