Clear cell myomelanocytic tumor of ligamentum teres
- PMID: 39021472
- PMCID: PMC11253914
- DOI: 10.4322/acr.2024.503
Clear cell myomelanocytic tumor of ligamentum teres
Abstract
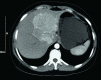
Clear cell myomelanocytic tumor (CCMMT) of the falciform ligament/ligamentum teres is a rare hepatic tumor, a variant of the perivascular epithelioid cell tumor (PEComa) family. CCMMT is the rarest variant of hepatic PEComas. Only a few cases of CCMMT have been reported in the English literature. Because of its rarity, less is known about its biological behavior. We present a case of a 31-year-old female who complained of abdominal pain, bilious vomiting, and abdominal fullness over two months. The radiological impression was of focal nodular hyperplasia. The histological examination of the resection specimen revealed a well-circumscribed tumor arranged in fascicles, sheets, and a whorling pattern. The tumor cells were spindle to epithelioid shaped with abundant clear to pale eosinophilic cytoplasm. The tumor cells expressed both myoid (smooth muscle actin) and melanocytic (MelanA and HMB45) markers, while they were negative for hepatocytic and vascular markers. Thus, based on histology and immunohistochemistry, a diagnosis of CCMMT was made. This case presents the diagnostic challenges of CCMMT and discusses the differential diagnosis with a literature review.
Keywords: Immunohistochemistry; Liver Neoplasms; Perivascular Epithelioid Cell Neoplasms.
Copyright © 2024 The Authors.
Conflict of interest statement
Conflict of interest: None
Figures




References
-
- Folpe AL, Goodman ZD, Ishak KG, et al. Clear cell myomelanocytic tumor of the falciform ligament/ligamentum teres: a novel member of the perivascular epithelioid clear cell family of tumors with a predilection for children and young adults. Am J Surg Pathol. 2000;24(9):1239–1246. doi: 10.1097/00000478-200009000-00007. - DOI - PubMed
Publication types
LinkOut - more resources
Full Text Sources