Single versus Double Plate Fixation in Condylar Neck Fractures: Clinical Results and Biomechanics Simulation
- PMID: 39061786
- PMCID: PMC11273754
- DOI: 10.3390/bioengineering11070704
Single versus Double Plate Fixation in Condylar Neck Fractures: Clinical Results and Biomechanics Simulation
Abstract
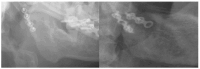
The open reduction of mandibular condyle neck fractures is difficult due to the limited surgical field and complex facial nerve structures. The most effective fixation method for narrow fractured segments is debated as standard double four-hole plate fixation is often not feasible. This research compared bone stability and force resistance between single-long-plate and double-short-plate fixations using clinical outcomes, a Sawbones mandible model, and finite element analysis. In patients with condyle neck fractures, nine were fixed with single-long-plate and twelve with double-short-plate fixations, with no significant differences in malocclusion and facial palsy rates. In compression tests with a Sawbones model, displacements in the posterior part were similar in both fixation groups. In contrast, the anterior part had significantly higher displacements in the single-long-plate group. Finite element analysis showed higher displacements in both anterior and posterior parts in the single-plate group compared to the double-short-plate group. Maximum stresses were at the second screw hole in single-long-plate fixation and the turning point of the upper plate at the condyle neck in double-short-plate fixation. Double-short-plate fixations demonstrated better stability and force resistance than single-long-plate fixations.
Keywords: condyle fracture; finite element analysis; fixation; mandible; mini-plates.
Conflict of interest statement
The authors declare no conflicts of interest.
Figures
References
-
- Jazayeri H.E., Lopez J., Khavanin N., Xun H., Lee U.K., Best D.L., Reategui A., Urata M.M., Dorafshar A.H. Comparative Benefits of Open versus Closed Reduction of Condylar Fractures: A Systematic Review and Meta-Analysis. Plast. Reconstr. Surg. 2023;151:664e–672e. doi: 10.1097/PRS.0000000000010009. - DOI - PubMed
Grants and funding
LinkOut - more resources
Full Text Sources
