Relapsing meningitis and limbic encephalitis in anti-AQP4-Ab-associated neuromyelitis optica spectrum disorder
- PMID: 39077876
- PMCID: PMC11568681
- DOI: 10.1177/13524585241261549
Relapsing meningitis and limbic encephalitis in anti-AQP4-Ab-associated neuromyelitis optica spectrum disorder
Abstract
Objectives: neuromyelitis optica spectrum disorder (NMOSD) is a rare autoimmune disease mainly affecting optic nerves and the spinal cord. Due to the potentially irreversible tissue damage, prevention of relapses is of utmost importance.
Methods: We describe the atypical clinical course and pathology results of a patient with anti-aquaporin-4 antibody (anti-AQP4-Ab)-associated NMOSD who developed aseptic meningitis followed by limbic-encephalitis-like presentation with extensive brain lesions upon treatment with rituximab and tocilizumab.
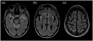
Results: The patient developed subacute cognitive decline with magnetic resonance imaging (MRI) evidence of extensive brain white matter lesions. In the hypothesis of an opportunistic brain infection, she underwent brain biopsy of the temporal pole. Pathology results revealed typical NMOSD findings with complement activation, supporting the hypothesis of an atypical presentation of anti-AQP-Ab-associated NMOSD. Accordingly, treatment with the complement-targeting drug eculizumab was started, leading to a dramatic clinical and MRI improvement.
Discussion: aseptic meningitis and limbic encephalitis could represent a rare phenotype of anti-AQP4-Ab-associated NMOSD.
Keywords: NMOSD; eculizumab; limbic encephalitis; meningitis.
Conflict of interest statement
Declaration of Conflicting InterestsThe author(s) declared no potential conflicts of interest with respect to the research, authorship, and/or publication of this article.
Figures



References
-
- Pittock SJ, Zekeridou A, Weinshenker BG. Hope for patients with neuromyelitis optica spectrum disorders—from mechanisms to trials. Nat Rev Neurol 2021; 17: 759–773. - PubMed
-
- Wingerchuk DM, Lennon VA, Lucchinetti CF, et al.. The spectrum of neuromyelitis optica. Lancet Neurol 2007; 6: 805–815. - PubMed
-
- Kim SH, Kim W, Li XF, et al.. Repeated treatment with rituximab based on the assessment of peripheral circulating memory B cells in patients with relapsing neuromyelitis optica over 2 years. Arch Neurol 2011; 68: 1412–1420. - PubMed
-
- Soliris® (eculizumab) European Medicine Agency summary of product characteristic, https://www.ema.europa.eu/en/documents/product-information/soliris-epar-... (accessed 25 March 2024).
Publication types
MeSH terms
Substances
LinkOut - more resources
Full Text Sources