Spontaneous Non-Aneurysmal Convexity Subarachnoid Hemorrhage: A Scoping Review of Different Etiologies beyond Cerebral Amyloid Angiopathy
- PMID: 39124649
- PMCID: PMC11313189
- DOI: 10.3390/jcm13154382
Spontaneous Non-Aneurysmal Convexity Subarachnoid Hemorrhage: A Scoping Review of Different Etiologies beyond Cerebral Amyloid Angiopathy
Abstract
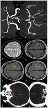
Spontaneous convexity subarachnoid hemorrhage (cSAH) is a vascular disease different from aneurysmal SAH in neuroimaging pattern, causes, and prognosis. Several causes might be considered in individual patients, with a limited value of the patient's age for discriminating among these causes. Cerebral amyloid angiopathy (CAA) is the most prevalent cause in people > 60 years, but reversible cerebral vasoconstriction syndrome (RCVS) has to be considered in young people. CAA gained attention in the last years, but the most known manifestation of cSAH in this context is constituted by transient focal neurological episodes (TFNEs). CAA might have an inflammatory side (CAA-related inflammation), whose diagnosis is relevant due to the efficacy of immunosuppression in resolving essudation. Other causes are hemodynamic stenosis or occlusion in extracranial and intracranial arteries, infective endocarditis (with or without intracranial infectious aneurysms), primary central nervous system angiitis, cerebral venous thrombosis, and rarer diseases. The diagnostic work-up is fundamental for an etiological diagnosis and includes neuroimaging techniques, nuclear medicine techniques, and lumbar puncture. The correct diagnosis is the first step for choosing the most effective and appropriate treatment.
Keywords: CAA-related inflammation; MRI; PRES; RCVS; cerebral amyloid angiopathy; cerebral venous thrombosis; convexity subarachnoid hemorrhage; endocarditis; intracranial stenosis.
Conflict of interest statement
The authors declare no conflicts of interest.
Figures
References
-
- Hostettler I.C., Wilson D., Fiebelkorn C.A., Aum D., Ameriso S.F., Eberbach F., Beitzkeet M., Kleinig T., Phan T., Marchina S., et al. Risk of intracranial haemorrhage and ischaemic stroke after convexity subarachnoid haemorrhage in cerebral amyloid angiopathy: International individual patient data pooled analysis. J. Neurol. 2022;269:1427–1438. doi: 10.1007/s00415-021-10706-3. - DOI - PMC - PubMed
Publication types
LinkOut - more resources
Full Text Sources
