The Endovascular Embolization of an Isolated Internal Iliac Artery Aneurysm: A Case Report
- PMID: 39130910
- PMCID: PMC11316498
- DOI: 10.7759/cureus.64330
The Endovascular Embolization of an Isolated Internal Iliac Artery Aneurysm: A Case Report
Abstract
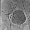
While isolated internal iliac artery aneurysms (IIIAAs) are rare entities, they are associated with a high mortality rate if ruptured. IIAAs are usually asymptomatic and can be discovered accidentally during imaging for any other causes. The treatment options vary according to the signs, symptoms, size of the aneurysm, and the patient's general condition. While surgery used to be the first option of treatment earlier, with the advances in the field of endovascular intervention, endovascular repair of IIIAA has emerged as the first option of treatment if applicable.
Keywords: aneurysm coiling; endovascular embolisation; internal iliac artery aneurysm; isolated internal iliac aneurysm; vascular anomaly.
Copyright © 2024, Abdelhadi et al.
Conflict of interest statement
Human subjects: Consent was obtained or waived by all participants in this study. Conflicts of interest: In compliance with the ICMJE uniform disclosure form, all authors declare the following: Payment/services info: All authors have declared that no financial support was received from any organization for the submitted work. Financial relationships: All authors have declared that they have no financial relationships at present or within the previous three years with any organizations that might have an interest in the submitted work. Other relationships: All authors have declared that there are no other relationships or activities that could appear to have influenced the submitted work.
Figures




References
-
- The isolated internal iliac artery aneurysm--a review. Dix FP, Titi M, Al-Khaffaf H. Eur J Vasc Endovasc Surg. 2005;30:119–129. - PubMed
-
- Aneurysms of the internal iliac artery: management strategy. Soury P, Brisset D, Gigou F, Saliou C, Angel F, Laurian C. Ann Vasc Surg. 2001;15:321–325. - PubMed
-
- State of the art: management of iliac artery aneurysmal disease. Bacharach JM, Slovut DP. Catheter Cardiovasc Interv. 2008;71:708–714. - PubMed
-
- Contemporary management of isolated iliac aneurysms. Krupski WC, Selzman CH, Floridia R, Strecker PK, Nehler MR, Whitehill TA. J Vasc Surg. 1998;28:1–13. - PubMed
-
- Treating Iliac aneurysms. Krajcer Z. https://evtoday.com/articles/2005-may/EVT0505_F6_Krajcer.html Endovasc Today. 2005;4:24–26.
Publication types
LinkOut - more resources
Full Text Sources