Nephrotic Syndrome Without Nephrotic Range Proteinuria
- PMID: 39131015
- PMCID: PMC11316853
- DOI: 10.7759/cureus.64342
Nephrotic Syndrome Without Nephrotic Range Proteinuria
Abstract
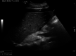
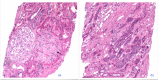
Nephrotic syndrome in adults is defined as nephrotic-range (≥3.5g/24h) proteinuria with low serum albumin, usually associated with edema, hyperlipidemia, and lipiduria. The 3.5g/24h threshold was selected arbitrarily and might not be reached in certain cases despite severe defects in glomerular permeability. We describe the case of a 57-year-old male who presented with progressively worsening swelling involving his limbs and abdomen. He also reported decreased urine output and fatigue. Physical examination was notable for severe pitting edema over legs, arms, and abdomen, in addition to peri-orbital puffiness. Labs revealed low serum albumin (1.3 g/dL), moderate proteinuria (2.3g/24h), and elevated total cholesterol (334 mg/dL). Renal biopsy showed amyloid light chain (AL) amyloidosis and bone marrow biopsy confirmed the presence of lambda-restricted plasma cells. Computed tomography, ultrasound, elastography, and laboratory findings were congruent with those seen in hepatic amyloidosis. A diagnosis of nephrotic syndrome caused by systemic AL amyloidosis was made despite the absence of nephrotic range proteinuria. The primary abnormality in nephrotic syndrome is increased glomerular permeability, leading to severe proteinuria causing low serum albumin, decreased oncotic pressure, and increased water retention by kidneys due to activation of the epithelial sodium channel (ENaC). The amount of albuminuria is influenced by both the extent of glomerular permeability and the rates of glomerular filtration and albumin synthesis. In cases where albumin synthesis is decreased secondary to concurrent liver disease, as in our case, a steady state of renal protein excretion may be reached at a lower threshold than 3.5g/24h despite severe defects in glomerular permeability.
Keywords: albumin clearance; hepatic amyloidosis; nephrotic syndrome; nephrotic-range proteinuria; systemic amyloidosis.
Copyright © 2024, Sheikh et al.
Conflict of interest statement
Human subjects: Consent was obtained or waived by all participants in this study. Conflicts of interest: In compliance with the ICMJE uniform disclosure form, all authors declare the following: Payment/services info: All authors have declared that no financial support was received from any organization for the submitted work. Financial relationships: All authors have declared that they have no financial relationships at present or within the previous three years with any organizations that might have an interest in the submitted work. Other relationships: All authors have declared that there are no other relationships or activities that could appear to have influenced the submitted work.
Figures



References
-
- Five hundred years of the nephrotic syndrome: 1484-1984. Cameron JS. https://www.ncbi.nlm.nih.gov/pmc/articles/PMC2447965/ Ulster Med J. 1985;54:0–19. - PMC - PubMed
-
- The clinicopathologic meaning of the nephrotic syndrome. Allen AC. Am J Med. 1955;18:277–314. - PubMed
-
- Clinical and histologic spectrum of the nephrotic syndrome. Berman LB, Schreiner GE. Am J Med. 1958;24:249–267. - PubMed
-
- Nephrotic syndrome redux. Glassock RJ, Fervenza FC, Hebert L, Cameron JS. Nephrol Dial Transplant. 2015;30:12–17. - PubMed
-
- Rajkrishna P, Cameron S, Turner N. Oxford Textbook of Clinical Nephrology, 4th Ed. Vol. 1. Oxford, UK: Oxford University Press; 2015. Nephrotic syndrome; p. 487.
Publication types
LinkOut - more resources
Full Text Sources