Hedgehog components are overexpressed in a series of liver cancer cases
- PMID: 39174588
- PMCID: PMC11341691
- DOI: 10.1038/s41598-024-70220-0
Hedgehog components are overexpressed in a series of liver cancer cases
Abstract
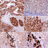
Liver cancers, including hepatocellular carcinoma (HCC), are the sixth most common cancer and the third leading cause of cancer-related death worldwide, representing a global public health problem. This study evaluated nine patients with HCC. Six of the cases involved hepatic explants, and three involved hepatic segmentectomy for tumor resection. Eight out of nine tumors were HCC, with one being a combined hepatocellular-cholangiocarcinoma tumor. Conventional markers of hepatocellular differentiation (Hep Par-1, arginase, pCEA, and glutamine synthetase) were positive in all patients, while markers of hepatic precursor cells (CK19, CK7, EpCAM, and CD56) were negative in most patients, and when positive, they were detected in small, isolated foci. Based on in silico analysis of HCC tumors from The Cancer Genome Atlas database, we found that Hedgehog (HH) pathway components (GLI1, GLI2, GLI3 and GAS1) have high connectivity values (module membership > 0.7) and are strongly correlated with each other and with other genes in biologically relevant modules for HCC. We further validated this finding by analyzing the gene expression of HH components (PTCH1, GLI1, GLI2 and GLI3) in our samples through qPCR, as well as by immunohistochemical analysis. Additionally, we conducted a chemosensitivity analysis using primary HCC cultures treated with a panel of 18 drugs that affect the HH pathway and/or HCC. Most HCC samples were sensitive to sunitinib. Our results offer a comprehensive view of the molecular landscape of HCC, highlighting the significance of the HH pathway and providing insight into focused treatments for HCC.
Keywords: Chemotherapy; Hedgehog proteins; Hepatocarcinoma; Molecular biology.
© 2024. The Author(s).
Conflict of interest statement
The authors declare no competing interests.
Figures




References
MeSH terms
Substances
LinkOut - more resources
Full Text Sources
Medical
Research Materials
Miscellaneous