Acute Glomerulonephritis Following Systemic Scabies in Two Brothers
- PMID: 39201916
- PMCID: PMC11352969
- DOI: 10.3390/children11080981
Acute Glomerulonephritis Following Systemic Scabies in Two Brothers
Abstract
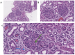
Scabies is a parasitic infestation of the skin with high prevalence in crowded spaces. In some instances, scabies becomes the underlying factor for complicated skin-borne opportunistic pathogens infections in both children and adults. Geographic area and socio-economic factors are determinants of the endemic pattern of this disease. Currently, the treatment of scabies has been under special attention. A combination of oral therapy with Ivermectin and sulfur-based ointments are the gold standard. However, caution is required in patients with kidney impairment. The renal involvement in children with scabies is mainly caused by acute glomerulonephritis. The severity of the nephritic syndrome can lead to other complications. Also, Ivermectin possesses a nephrotoxic effect. Severe hypertension can lead to neurological complications. The aim of our case report is to present two unusual complications in brothers with scabies. We report the cases of two brothers with scabies who presented with severe skin infection that developed acute post infectious glomerulonephritis (APIGN). In addition, one of the brothers presented with posterior reversible encephalopathy syndrome (PRES). The other one developed acute tubule-interstitial acute kidney injury following Ivermectin administration. The evolution of skin lesions was favorable, and kidney function returned to normal in both brothers.
Keywords: APIGN; PRES; children; scabies.
Conflict of interest statement
The authors declare no conflicts of interest.
Figures






References
-
- Dieng M.T., Ndiaye B., Ndiaye A.M. Scabies complicated by acute glomerulonephritis in children: 114 cases observed in two years in a pediatric service in Dakar. Dakar Med. 1998;43:201–204. - PubMed
-
- Lake S.J., Phelan S.L., Engelman D., Sokana O., Nasi T., Boara D., Gorae C., Schuster T., Grobler A.C., Osti M.H., et al. Protocol for a cluster-randomised non-inferiority trial of one versus two doses of ivermectin for the control of scabies using a mass drug administration strategy (the RISE study) BMJ Open. 2020;10:e037305. doi: 10.1136/bmjopen-2020-037305. - DOI - PMC - PubMed
Publication types
LinkOut - more resources
Full Text Sources