Skip to main page content
U.S. flag

An official website of the United States government

Dot gov

The .gov means it’s official.
Federal government websites often end in .gov or .mil. Before sharing sensitive information, make sure you’re on a federal government site.

Https

The site is secure.
The https:// ensures that you are connecting to the official website and that any information you provide is encrypted and transmitted securely.

Access keys NCBI Homepage MyNCBI Homepage Main Content Main Navigation
Case Reports
. 2024 Jul 29;16(7):e65692.
doi: 10.7759/cureus.65692. eCollection 2024 Jul.

A Case of Basal Ganglia Intraparenchymal Hemorrhage Following Lumbar Spinal Surgery

Affiliations
Case Reports

A Case of Basal Ganglia Intraparenchymal Hemorrhage Following Lumbar Spinal Surgery

Michael J Gigliotti et al. Cureus. .

Abstract

We report on a rare case of basal ganglia intraparenchymal hemorrhage with intraventricular extension occurring after a lumbar spinal surgery. A 65-year-old female presented for an elective L4-L5 lumbar laminectomy and posterior spinal fixation. Her initial operation was complicated by a cerebrospinal fluid (CSF) leak repaired with a dural synthetic graft. Her immediate post-operative course was complicated by delayed emergence, eye-opening apraxia, and left-sided hemiplegia and subsequent computed tomography (CT) of the head demonstrated a right-sided basal ganglia intraparenchymal hemorrhage (IPH) with intraventricular extension. CT angiogram of the head was unremarkable. She was taken back to the operating room for right-sided decompressive hemicraniectomy and external ventricular drainage (EVD) for hydrocephalus. Her EVD was discontinued on post-bleed day 13 and she was discharged on post-bleed day 14 to a long-term care facility with a modified Rankin scale (mRS) score of 6. She returned for a cranioplasty six months later, and on her last follow-up at nine months, had a mRS of 4 with persistent confusion and severe left-sided hemiparesis but was able to form simple sentences. In summary, intracranial hemorrhage is a rare complication of spine surgery, occurring in a small percentage of the population. Lobar IPH following spinal surgery is a rare complication, and has been hypothesized to be a result of excessive CSF loss during durotomy.

Keywords: cerebrospinal fluid leak; intracranial hemorrhage; intraparenchymal hemorrhage; neurosurgery; spine.

PubMed Disclaimer

Conflict of interest statement

Human subjects: Consent was obtained or waived by all participants in this study. Conflicts of interest: In compliance with the ICMJE uniform disclosure form, all authors declare the following: Payment/services info: All authors have declared that no financial support was received from any organization for the submitted work. Financial relationships: All authors have declared that they have no financial relationships at present or within the previous three years with any organizations that might have an interest in the submitted work. Other relationships: All authors have declared that there are no other relationships or activities that could appear to have influenced the submitted work.

Figures

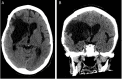
Figure 1
Figure 1. Axial (A) and coronal (B) CT of the head showing right-sided basal ganglia intraparenchymal hemorrhage measuring 8.5 × 4.3 × 3.8 cm with associated brain compression, midline shift, intraventricular extension, and mild perilesional edema.
Figure 2
Figure 2. Axial (A) and coronal (B) post-operative CT of the head following right-sided decompressive hemicraniectomy.
Figure 3
Figure 3. CT of the head performed 9 months following intraparenchymal hemorrhage. Axial (A) and coronal (B) images show encephalomalacia in the prior intraparenchymal hemorrhage bed with resolution of her midline shift following cranioplasty.

References

    1. Intracranial hemorrhage after spine surgery. Kaloostian PE, Kim JE, Bydon A, Sciubba DM, Wolinksy JP, Gokaslan ZL, Witham TF. https://thejns.org/spine/view/journals/j-neurosurg-spine/19/3/article-p3... J Neurosurg Spine. 2013;19:10. - PubMed
    1. Intracranial hemorrhage following spinal surgery: a systematic review of a rare complication. Al-Saadi T, Al-Kindi Y, Allawati M, Al-Saadi H. Surg J (N Y) 2022;8:0. - PMC - PubMed
    1. Intracranial hemorrhage. Caceres JA, Goldstein JN. Emerg Med Clin North Am. 2012;30:771–794. - PMC - PubMed
    1. Remote intracranial parenchymal haematomas as complications of spinal surgery: presentation of three cases with minor or untypical symptoms. Hempelmann RG, Mater E. Eur Spine J. 2012;21:564–568. - PMC - PubMed
    1. Remote cerebellar hemorrhage after lumbar spinal surgery. Cevik B, Kirbas I, Cakir B, Akin K, Teksam M. Eur J Radiol. 2009;70:7–9. - PubMed

Publication types

LinkOut - more resources