Reducing Chronic Spine Pain in an Adult Male by Decreasing Lumbar Scoliosis and Increasing Cervical Lordosis Using Chiropractic BioPhysics® Protocols: A 26-Month Follow-Up Case Report
- PMID: 39224496
- PMCID: PMC11366306
- DOI: 10.7759/cureus.68393
Reducing Chronic Spine Pain in an Adult Male by Decreasing Lumbar Scoliosis and Increasing Cervical Lordosis Using Chiropractic BioPhysics® Protocols: A 26-Month Follow-Up Case Report
Abstract
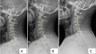
We present a case report of a patient suffering from chronic low back pain (CLBP) and chronic non-specific neck pain (CNSNP), both of which were caused and complicated by a physically demanding occupation, a history of mixed martial arts, and lumbar scoliosis. Improvements in patient-reported outcomes (PROs) and radiographic findings were observed following conservative spine rehabilitation. The patient, a 34-year-old male, had experienced chronic spine pain, particularly CLBP and CNSNP, for several years. He reported severe pain and increasing disability after a recent neck injury sustained while practicing jiu-jitsu. Radicular pain, along with numbness and tingling, was noted in the right upper extremity, extending to the first three digits, and there were also altered sensations and temperature changes in both feet. He described sharp, pinching mid-back pain and worsening disability due to the persistent pain, which led him to seek manual manipulative chiropractic spine therapy, though he reported little benefit from it. The patient had relied on over-the-counter pain medications for many years without achieving long-term pain and disability relief, and these medications were no longer used following treatment. Chiropractic BioPhysics® (CBP®) spinal structural rehabilitation protocols were used to improve coronal and sagittal balance, as well as paraspinal muscular strength, addressing posture, mobility, and related aspects. These protocols include postural exercises, postural Mirror Image® traction, and postural spinal manipulative therapy. All PROs improved, with a near resolution of all initial symptoms of chronic spine pain. Outcomes measured included disability indices and health-related quality of life (HRQoL) indicators. Radiographic parameter improvements were significant, demonstrating improved coronal and sagittal balance as a result of the treatment. Following 30 in-office treatments, administered three times per week for 10 weeks, initial outcomes were reassessed. The patient then received 13 in-office treatments periodically over one year, and all initial outcomes were repeated. The improvements remained stable over time. A 26-month follow-up found that the improvements were sustained over a very long period without additional treatment after the 13-month examination. Chronic spine pain, specifically CLBP and CNSNP, is a significant source of suffering and contributes substantially to the global burden of disease. Improvement in HRQoLs, PROs, and objective spine parameters are desirable clinical outcomes. Our case report documents objective improvement in lumbar scoliosis and spine pain, which is rare in conservative studies. This successful treatment of chronic pain with long-term follow-up contributes to the growing evidence supporting conservative, non-surgical treatments for CNSNP and CLBP. Successful management of chronic spine pain was observed in a patient undergoing CBP® treatment. The treatment was designed to address abnormal sagittal and coronal postural balance and radiographic abnormalities indicating spinal misalignment and reassess progress in PROs, as well as objective and subjective HRQoL measures, both following treatment and 13 months later. However, larger studies are needed to draw firm conclusions regarding the efficacy of this treatment for chronic pain.
Keywords: cbp® rehabilitation; cervical lordosis; coronal balance; low back pain; lumbar lordosis; neck pain; sagittal balance; scoliosis; spine rehabilitation; standard radiography.
Copyright © 2024, Haas et al.
Conflict of interest statement
Human subjects: Consent was obtained or waived by all participants in this study. Conflicts of interest: In compliance with the ICMJE uniform disclosure form, all authors declare the following: Payment/services info: All authors have declared that no financial support was received from any organization for the submitted work. Financial relationships: All authors have declared that they have no financial relationships at present or within the previous three years with any organizations that might have an interest in the submitted work. Other relationships: Dr. Miles O. Fortner (MOF) and Dr. Thomas J. Woodham (TJW) have no conflicts of interest. Dr. Paul Oakley (PAO) is a compensated consultant for CBP® NonProfit, Inc.; Dr. Jason W. Haas is a compensated instructor and researcher for CBP® NonProfit and CBP® Seminars; and Dr. Deed Harrison (DEH) is the CEO of Chiropractic BioPhysics® (CBP®) and provides post-graduate education and rehabilitation devices to health care providers/physicians. DEH is the president of CBP NonProfit, Inc., a not-for-profit spine research foundation.
Figures







References
Publication types
LinkOut - more resources
Full Text Sources
Miscellaneous