Intracholecystic Papillary Neoplasm: A Case Report
- PMID: 39238713
- PMCID: PMC11376676
- DOI: 10.7759/cureus.66309
Intracholecystic Papillary Neoplasm: A Case Report
Abstract
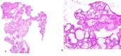
We present a case of a 30-year-old female with symptomatic gallstones and associated gallbladder polyps. An incidental finding of intracholecystic papillary neoplasm (ICPN) with high-grade dysplasia was found after pathological examination of the gallbladder after robotic cholecystectomy. This rare condition can be associated with malignant transformation. In this case report, we discuss this rare entity and share our experience and review of the literature.
Keywords: cancer gallbladder; gallbladder polyp; hepatobiliary interventions; robotic assisted cholecystectomy; transplant and hepatobiliary surgeon.
Copyright © 2024, Taqwa et al.
Conflict of interest statement
Human subjects: Consent was obtained or waived by all participants in this study. Conflicts of interest: In compliance with the ICMJE uniform disclosure form, all authors declare the following: Payment/services info: All authors have declared that no financial support was received from any organization for the submitted work. Financial relationships: All authors have declared that they have no financial relationships at present or within the previous three years with any organizations that might have an interest in the submitted work. Other relationships: All authors have declared that there are no other relationships or activities that could appear to have influenced the submitted work.
Figures


References
-
- Intracholecystic papillary-tubular neoplasms (ICPN) of the gallbladder (neoplastic polyps, adenomas, and papillary neoplasms that are ≥1.0 cm): clinicopathologic and immunohistochemical analysis of 123 cases. Adsay V, Jang KT, Roa JC, et al. https://doi.org/10.1097/PAS.0b013e318262787c. Am J Surg Pathol. 2012;36:1279–1301. - PubMed
-
- Successful endoscopic treatment of an intraductal papillary neoplasm of the bile duct. Natov NS, Horton LC, Hegde SR. https://doi.org/10.4253/wjge.v9.i5.238. World J Gastrointest Endosc. 2017;9:238–242. - PMC - PubMed
-
- A case report of intracholecystic papillary neoplasm of the gallbladder resembling a submucosal tumor. Muranushi R, Saito H, Matsumoto A, et al. https://doi.org/10.1186/s40792-018-0524-2. Surg Case Rep. 2018;4:124. - PMC - PubMed
Publication types
LinkOut - more resources
Full Text Sources