Epidermoid Splenic Cyst in Children Treated by Laparoscopic Partial Splenectomy
- PMID: 39279623
- PMCID: PMC11493233
- DOI: 10.4103/ajps.ajps_84_23
Epidermoid Splenic Cyst in Children Treated by Laparoscopic Partial Splenectomy
Abstract
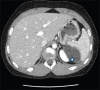
Epidermoid splenic cyst is a rare benign tumour in children, accounting for 10% of all cystic lesions of the spleen and is the most common diagnosis of non-parasitic splenic cysts. Its discovery could be incidental or happen after an imaging workup for a mass or abdominal pain. Since total splenectomy exposes a patient to the occurrence of overwhelming post-splenectomy infection, laparoscopic partial splenectomy has been increasingly popular over the past two decades because it preserves the immune function of the spleen. This technique should only be performed by a well-trained team because of the high risk of bleeding. The authors report the cases of three patients who underwent laparoscopic partial splenectomy: a 7-year-old girl with no relevant history with a 4.5-cm epidermoid cyst involving the lower pole of the spleen, a 13-year-old boy, type 1 diabetic on insulin therapy, with a 7-cm epidermoid cyst of the upper pole of the spleen and a 14-year-old girl, with no previous history, with a 6-cm upper pole epidermoid splenic cyst. Operating times were 2 h 30 min, 3 h and 4 h 30 min, respectively. The intraoperative blood loss was 100 mL, 350 mL and 300 mL, respectively. The length of hospital stay was 6 days for each patient. No blood transfusion was performed perioperatively. With a mean follow-up duration of 21 months (32 months, 21 months and 10 months, respectively), no complication or recurrence occurred.
Copyright © 2024 Copyright: © 2024 African Journal of Paediatric Surgery.
Conflict of interest statement
There are no conflicts of interest.
Figures











References
-
- Andral G. Summary of Pathological Anatomy. Nabu press. 1829;2:1797–876.
-
- Morgenstern L, Shapiro SJ. Partial splenectomy for nonparasitic splenic cysts. Am J Surg. 1980;139:278–81. - PubMed
-
- Belekar D, Desai A, Dewoolkar A, Dewoolkar V, Bhutala U. Splenic Epithelial Cyst: A Rare Entity. Int J Surg. 2010;22:1–18.
Publication types
MeSH terms
LinkOut - more resources
Full Text Sources
Medical
Miscellaneous