Recurrent Intracranial Ewing Sarcoma
- PMID: 39280867
- PMCID: PMC11398625
- DOI: 10.31486/toj.24.0014
Recurrent Intracranial Ewing Sarcoma
Abstract
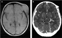
Background: Ewing sarcoma is a rare malignant neoplasm that is primarily localized in bone tissues. The prognosis for patients with a newly diagnosed localized Ewing sarcoma has been greatly improved by multimodality treatment. However, treating patients with disseminated or recurrent disease is challenging, with a 5-year overall survival rate of <30%. Case Report: A 17-year-old female with an asymptomatic tumor of the left temple underwent 3 cycles of vincristine, ifosfamide, doxorubicin, and etoposide and achieved partial remission. However, the patient refused further chemotherapy and surgical intervention and was lost to follow-up. After 7 months, the patient presented again with a sizeable tumor on her left temple and worsening symptoms. Chemotherapy with alternating cycles of vincristine, doxorubicin, cyclophosphamide, ifosfamide, and etoposide according to the EURO EWING 2012 trial was initiated. After a positive response, debulking surgery was performed, followed by postsurgical radiation, and partial remission was achieved. Conclusion: Optimal treatment protocols for recurrent Ewing sarcoma are lacking. Treatments are individualized based on the patient's response to treatment and the decisions of tumor boards. Patients with rare tumors such as Ewing sarcoma benefit from multidisciplinary collaboration, resulting in improved quality of care and treatment outcomes.
Keywords: Chemotherapy–adjuvant; neoplasm metastasis; radiotherapy; sarcoma–Ewing; soft tissue neoplasms.
©2024 by the author(s); Creative Commons Attribution License (CC BY).
Figures




References
-
- Falk S, Alpert M. The clinical and roentgen aspects of Ewing's sarcoma. Am J Med Sci. 1965;250(5):492-508. - PubMed
Publication types
LinkOut - more resources
Full Text Sources