Deciphering Paroxysmal Nocturnal Hemoglobinuria: An Unusual Paradigm of Hemolytic Anemia
- PMID: 39295707
- PMCID: PMC11409906
- DOI: 10.7759/cureus.67194
Deciphering Paroxysmal Nocturnal Hemoglobinuria: An Unusual Paradigm of Hemolytic Anemia
Abstract
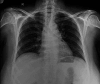
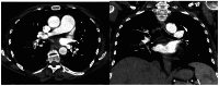
Paroxysmal nocturnal hemoglobinuria (PNH), a clonal hematopoietic stem cell disorder, arises from the increased sensitivity of red blood cells (RBC) to complement due to an acquired deficiency of certain glycosylphosphatidylinositol (GPI)-linked proteins, resulting in chronic intravascular hemolysis, arterial and venous thrombotic phenomena, multi-organ damage, and failure. We present an intriguing case of hemolytic anemia, initially suspected to be drug-induced, and later found to be associated with PNH, despite being a subclinical clone. A clinician should not hesitate to repeat fluorescent-labeled aerolysin (FLAER) cytometry if the clinical picture strongly favors a diagnosis of PNH. This case marks the importance of testing for PNH clones in autoimmune hemolytic anemia (AIHA) since their prevalence is not negligible and may correspond to a prominent hemolytic pattern, a higher thrombotic risk, and a higher therapeutic indication, such as eculizumab. This underscores the significance of conducting a thorough evaluation for occult causes of treatment-unresponsive hemolytic anemia, paving options for an early and alternative therapeutic approach.
Keywords: aretrial and venous thromboses; drug-induced immune hemolytic anemia; eculizumab; pnh; pnh flow cytometry; sub clinical clones.
Copyright © 2024, Athota et al.
Conflict of interest statement
Human subjects: Consent was obtained or waived by all participants in this study. Conflicts of interest: In compliance with the ICMJE uniform disclosure form, all authors declare the following: Payment/services info: All authors have declared that no financial support was received from any organization for the submitted work. Financial relationships: All authors have declared that they have no financial relationships at present or within the previous three years with any organizations that might have an interest in the submitted work. Other relationships: All authors have declared that there are no other relationships or activities that could appear to have influenced the submitted work.
Figures










References
-
- Hoffman R, Benz EJ, Silberstein LE, et al. Hematology: Basic Principles and Practice. Philadelphia, PA: Elsevier Inc.; 2017.
-
- PNH is a debilitating, fatal but treatable disease: same disease, different clinical presentations. Sahin F, Yilmaz AF, Ozkan MC, Gokmen NM, Saydam G. https://www.ncbi.nlm.nih.gov/pmc/articles/PMC4497495/ Am J Blood Res. 2015;15:30–33. - PMC - PubMed
-
- CD157 can replace CD24 and CD14 in a single-tube flow-cytometric assay to detect paroxysmal nocturnal hemoglobinuria (PNH) clones on both neutrophils and monocytes: a prospective study from North India. Deka R, Pati HP, Chandra D, Manivannan P, Chauhan R, Tyagi S, Saxena R. Cureus. 2022;14:0. - PMC - PubMed
Publication types
LinkOut - more resources
Full Text Sources