Ventricular Tachycardia Storm in a Young Adult Post-ALCAPA Repair
- PMID: 39295818
- PMCID: PMC11405961
- DOI: 10.1016/j.jaccas.2024.102418
Ventricular Tachycardia Storm in a Young Adult Post-ALCAPA Repair
Abstract
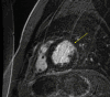
Anomalous left coronary artery to pulmonary artery (ALCAPA) is a leading cause of pediatric myocardial ischemia. This paper presents a case of a young man presenting with ventricular tachycardia storm 18 years after ALCAPA repair. Clinicians should recognize the risk of ventricular tachycardia in this patient population.
Keywords: congenital heart disease; myocardial ischemia; ventricular arrythmia.
© 2024 The Authors.
Conflict of interest statement
The authors have reported that they have no relationships relevant to the contents of this paper to disclose.
Figures
References
-
- Azakie A. Repair of anomalous coronary artery from the pulmonary artery by aortic implantation. Oper Tech Thorac Cardiovasc Surg. 2015;20(2):135–147.
-
- Naimo P.S., Fricke T.A., d'Udekem Y., et al. Surgical intervention for anomalous origin of left coronary artery from the pulmonary artery in children: a long-term follow-up. Ann Thorac Surg. 2016;101(5):1842–1848. - PubMed
-
- Kanoh M., Inai K., Shinohara T., Tomimatsu H., Nakanishi T. Outcomes from anomalous origin of the left coronary artery from the pulmonary artery repair: long-term complications in relation to residual myocardial abnormalities. J Cardiol. 2017;70(5):498–503. - PubMed
-
- Al-Khatib S.M., Stevenson W.G., Ackerman M.J., et al. 2017 AHA/ACC/HRS guideline for management of patients with ventricular arrhythmias and the prevention of sudden cardiac death: a report of the American College of Cardiology/American Heart Association Task Force on Clinical Practice Guidelines and the Heart Rhythm Society. J Am Coll Cardiol. 2018;72(14):e91–e220. doi: 10.1016/j.jacc.2017.10.054. - DOI - PubMed
