Cardiac computed tomography in infective endocarditis: "bridging the detection gap"
- PMID: 39309605
- PMCID: PMC11415862
- DOI: 10.3389/fcvm.2024.1459833
Cardiac computed tomography in infective endocarditis: "bridging the detection gap"
Abstract
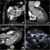
Infective Endocarditis (IE) remains a significant health challenge. Despite an increasing awareness, mortality is high and has remained largely unchanged over recent decades. Early diagnosis of IE is imperative and to assist clinicians several diagnostic criteria have been proposed. The best known are the Duke criteria. Originally published in 1994, these criteria have undergone significant modifications. This manuscript provides a timeline of the successive changes that have been made over the last 30 years. Changes which to a large degree have reflected both the evolving epidemiology of IE and the proliferation and increasing availability of advanced multi-modality imaging. Importantly, many of these changes now form part of societal guidelines for the diagnosis of IE. To provide validation for the incorporation of cardiac computed tomography (CT) in current guidelines, the manuscript demonstrates a spectrum of pictorial case studies that re-enforce the utility and growing importance of early cardiac CT in the diagnosis and treatment of suspected IE.
Keywords: Duke criteria; cardiac computed tomography (CT) imaging; infective endocarditis; pseudoaneursym; vegetations.
© 2024 Montarello, Bioh, Byrne, Hassan, Androshchuk, Demetrescu, Mak and Rajani.
Conflict of interest statement
The authors declare that the research was conducted in the absence of any commercial or financial relationships that could be construed as a potential conflict of interest.
Figures







References
-
- Habib G, Lancellotti P, Antunes MJ, Bongiorni MG, Casalta JP, Del Zotti F, et al. 2015 ESC guidelines for the management of infective endocarditis: the task force for the management of infective endocarditis of the European Society of Cardiology (ESC). Endorsed by: European association for cardio-thoracic surgery (EACTS), the European association of nuclear medicine (EANM). Eur Heart J. (2015) 36(44):3075–128. 10.1093/eurheartj/ehv319 - DOI - PubMed
-
- Fowler VG, Durack DT, Selton-Suty C, Athan E, Bayer AS, Chamis AL, et al. The 2023 Duke-international society for cardiovascular infectious diseases criteria for infective endocarditis: updating the modified Duke criteria. Clin Infect Dis. (2023) 77(4):518–26. 10.1093/cid/ciad271 - DOI - PMC - PubMed
Publication types
LinkOut - more resources
Full Text Sources
Miscellaneous