Galectin-7 Expression in the Placentas of Women with Gestational Diabetes Mellitus
- PMID: 39337670
- PMCID: PMC11432196
- DOI: 10.3390/ijms251810186
Galectin-7 Expression in the Placentas of Women with Gestational Diabetes Mellitus
Abstract
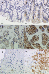
Gestational diabetes mellitus (GDM) is a common condition during pregnancy. The prevalence of GDM is continuously increasing worldwide. Due to accessible diagnostic methods and a clear understanding of risk factors, GDM can be effectively diagnosed and managed. Galectins may influence immunomodulatory and inflammatory processes. This study examines the expression of galectin-7 in the placentas of women with gestational diabetes (GDM), compares it to its expression in healthy pregnancies, and evaluates the associated clinical outcomes. The placentas of 40 healthy women and 40 GDM placentas were included in the cohort. The expression level of galecin-7 was measured in the syncytiotrophoblast (SCT) and in the decidua of the placenta by immunohistochemistry and double immunofluorescence staining. The evaluation was performed by an immunoreactivity score (IRS). The study results show an increased expression of galectin-7 in the SCT and the decidua of GDM placentas as compared to the placentas of the control group. Elevated levels of galectin-7 were observed in both the nucleus and the cytoplasm. This study investigated the hypothesis that galectins are involved in pathophysiological processes of gestational diabetes. Statistical analysis of gene expression patterns confirmed that galectin-7 is indeed upregulated in GDM placentas. Further studies are needed to show the correlation of galectin-7 and the development and maintenance of gestational diabetes mellitus.
Keywords: galectin-7; gestational diabetes mellitus; pregnancy.
Conflict of interest statement
T.K: holds stock of Bayer AG. S.M: Lectures, Advisory Board, Grants, Honoraria, and Congress and Travel Support from AbbVie, AstraZeneca, Clovis, Daiichi, Eisai, GlaxoSmithKline, Hubro, Immunogen, Medac, MSD, Novartis, Nykode, Olympus, PharmaMar, Pfizer, Roche, Seagen, Sensor Kinesis, Teva, and Tesaro. The other authors declare no conflicts of interest.
Figures
References
MeSH terms
Substances
LinkOut - more resources
Full Text Sources
