Advancements in Diagnosis and Management of Distal Radioulnar Joint Instability: A Comprehensive Review Including a New Classification for DRUJ Injuries
- PMID: 39338197
- PMCID: PMC11433100
- DOI: 10.3390/jpm14090943
Advancements in Diagnosis and Management of Distal Radioulnar Joint Instability: A Comprehensive Review Including a New Classification for DRUJ Injuries
Abstract
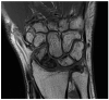
Distal radioulnar joint (DRUJ) instability is a complex condition that can severely affect forearm function, causing pain, limited range of motion, and reduced strength. This review aims to consolidate current knowledge on the diagnosis and management of DRUJ instability, emphasizing a new classification system that we propose. The review synthesizes anatomical and biomechanical factors essential for DRUJ stability, focusing on the interrelationship between the bones and surrounding soft tissues. Our methodology involved a thorough examination of recent studies, incorporating clinical assessments and advanced imaging techniques such as MRI, ultrasound, and dynamic CT. This approach allowed us to develop a classification system that categorizes DRUJ injuries into three distinct grades. This system is intended to be practical for both clinical and radiological evaluations, offering clear guidance for treatment based on injury severity. The review discusses a range of treatment options, from conservative measures like splinting and physiotherapy to surgical procedures, including arthroscopy and DRUJ arthroplasty. The proposed classification system enhances the accuracy of diagnosis and supports more effective decision making in clinical practice. In summary, our findings suggest that the integration of advanced imaging techniques with minimally invasive surgical interventions can lead to better outcomes for patients. This review serves as a valuable resource for clinicians, providing a structured approach to managing DRUJ instability and improving patient care through the implementation of our new classification system.
Keywords: DRUJ arthroscopy; distal radioulnar joint (DRUJ) classification; distal radioulnar joint (DRUJ) instability; imaging modalities; triangular fibrocartilage complex (TFCC) injuries.
Conflict of interest statement
The authors declare no conflicts of interest.
Figures










References
Publication types
LinkOut - more resources
Full Text Sources