Erythropoietin Reduces Inflammation, Oxidative Stress, and Apoptosis in a Rat Model of Bleomycin-Induced Idiopathic Pulmonary Fibrosis
- PMID: 39338226
- PMCID: PMC11433300
- DOI: 10.3390/jpm14090972
Erythropoietin Reduces Inflammation, Oxidative Stress, and Apoptosis in a Rat Model of Bleomycin-Induced Idiopathic Pulmonary Fibrosis
Abstract
Background: Idiopathic pulmonary fibrosis (IPF) is a lethal interstitial disease with unknown etiology and no effective cure, posing a great health burden to society. Erythropoietin (EPO) has been demonstrated to have protective roles in various tissues such as brain, spinal cord, heart, kidney and lung tissues. In this study, we investigate the specific anti-inflammatory, antioxidant and antiapoptotic effects of erythropoietin on lung tissue in a bleomycin-induced rat model of idiopathic pulmonary fibrosis.
Methods: Recombinant human EPO or saline was injected, and the animals were monitored for 14 days after bleomycin instillation. Their hematocrit and serum EPO levels were determined. Histological and immunohistochemical analyses were performed.
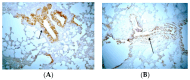
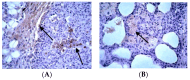
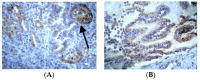
Results: The extent of tissue injury, determined through morphometric analysis, was significantly decreased in size in animals treated with erythropoietin. An immunohistochemical analysis of the expression of cyclooxygenase-2 (COX-2), inducible synthase of nitric oxide (i-NOS), metalloproteinase-9 (MMP-9), erythropoietin receptor (EPO-R), and cytochrome-C (cyt-C) found these enzymes to be decreased in a statistically significant manner in animals treated with erythropoietin when compared to a non-treated group.
Conclusions: The reduced expression of COX-2, i-NOS, MMP-9, EPO-R, and i-NOS in the lung tissues of animals treated with EPO indicates the anti-inflammatory, antioxidant and antiapoptotic action of erythropoietin, suggesting its potential therapeutic role in pulmonary fibrosis.
Keywords: anti-inflammatory; antiapoptotic; antioxidant; bleomycin; erythropoietin; idiopathic pulmonary fibrosis.
Conflict of interest statement
The authors declare no conflicts of interest.
Figures






References
-
- Raghu G., Remy-Jardin M., Richeldi L., Thomson C.C., Inoue Y., Johkoh T., Kreuter M., Lynch D.A., Maher T.M., Martinez F.J., et al. Idiopathic Pulmonary Fibrosis (an Update) and Progressive Pulmonary Fibrosis in Adults: An Official ATS/ERS/JRS/ALAT Clinical Practice Guideline. Am. J. Respir. Crit. Care Med. 2022;205:e18–e47. doi: 10.1164/rccm.202202-0399ST. - DOI - PMC - PubMed
-
- Shang Y., Jiang Y.X., Xu S.P., Wu Y., Wu Z.Y., Yuan S.Y., Yao S.L. Reduction of pulmonary inflammatory response by erythropoietin in a rat model of endotoxaemia. Chin. Med. J. 2009;122:834–838. - PubMed
LinkOut - more resources
Full Text Sources
Research Materials
Miscellaneous