Rasmussen's Aneurysm in Active Pulmonary Tuberculosis: A Case Report
- PMID: 39347312
- PMCID: PMC11438579
- DOI: 10.7759/cureus.68148
Rasmussen's Aneurysm in Active Pulmonary Tuberculosis: A Case Report
Abstract
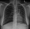
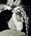
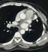
Hemoptysis is a common presenting symptom of pulmonary tuberculosis (TB). Rasmussen aneurysm can present with severe hemoptysis, which is usually diagnosed using computed tomography (CT) angiography. A false aneurysmal dilatation of the pulmonary artery is known as a Rasmussen aneurysm. It occurs due to a gradual weakening of the arterial wall adjacent to pulmonary cavitation. Computed tomography angiography of the chest is the standard diagnostic technique for Rasmussen aneurysm. An early angiographic or surgical procedure with vascular embolization is recommended following a definitive diagnosis. We present a 29-year-old woman whom the medical commission referred due to a cavitary lesion on a screening chest X-ray. Hospital admission was preferred for the Mycobacterium tuberculosis infection workup, which revealed radiological evidence of the Rasmussen aneurysm. The patient was eventually treated as a case of active tuberculosis on a radiological basis via the decision of the local infectious disease (ID) team. The most common symptoms reported in patients with tuberculosis infection are hemoptysis, cough, low-grade fever, night sweats, and weight loss. Hemoptysis can rarely originate from the Rasmussen aneurysm of the pulmonary artery. However, hemoptysis is the predominant symptom in chronic cavitary tuberculosis with Rasmussen aneurysm. A CT pulmonary angiogram (CTPA) is considered the imaging modality of choice to confirm the diagnosis of Rasmussen aneurysm. Fatal hemoptysis is one of the consequences of a Rasmussen aneurysm if it is massive and not treated promptly. Confirming the diagnosis with proper follow-up is essential to preventing devastating outcomes.
Keywords: chest computed tomography; massive hemoptysis; pulmonary artery pseudo aneurysm; pulmonary tuberculosis sequelae; rasmussen’s aneurysm.
Copyright © 2024, Fadul et al.
Conflict of interest statement
Human subjects: Consent was obtained or waived by all participants in this study. Conflicts of interest: In compliance with the ICMJE uniform disclosure form, all authors declare the following: Payment/services info: All authors have declared that no financial support was received from any organization for the submitted work. Financial relationships: All authors have declared that they have no financial relationships at present or within the previous three years with any organizations that might have an interest in the submitted work. Other relationships: All authors have declared that there are no other relationships or activities that could appear to have influenced the submitted work.
Figures




References
-
- Tuberculosis: a disease without boundaries. Fogel N. Tuberculosis (Edinb) 2015;95:527–531. - PubMed
-
- Rasmussen aneurysm in a patient from the Ukraine: a diagnostic challenge. Jaspard M, Le Pimpec-Barthes F, Caumes E. Travel Med Infect Dis. 2020;36:101732. - PubMed
-
- Giant Rasmussen's aneurysm. Garcia-Reina S, Martinez-Barenys C, Fernandez E. Ann Thorac Surg. 2018;106:0. - PubMed
Publication types
LinkOut - more resources
Full Text Sources