Immune checkpoint inhibitor induced hypophysitis: a specific disease of corticotrophs?
- PMID: 39348229
- PMCID: PMC11562682
- DOI: 10.1530/EC-24-0223
Immune checkpoint inhibitor induced hypophysitis: a specific disease of corticotrophs?
Abstract
Introduction: The aim of this study was to define functional and anatomical pituitary disease at the time of presentation following immune checkpoint inhibitor (ICI) therapy and to describe any changes in pituitary function over time.
Methods: We conducted a retrospective observational audit of patients on ICI therapy at our centre between January 2013 and September 2023. We reviewed all patients on ICI therapy under the care of the oncology department at University Hospital Plymouth, a 1000-bedded hospital serving a population of 500,000 people. From this group, we identified all individuals referred to the endocrinology department with a suspected diagnosis of adrenal insufficiency. Patients were established on adrenal steroid replacement and subsequently underwent formal pituitary testing. People were included if they had pituitary disease, as evidenced by low ACTH, other pituitary dysfunction and/or abnormalities on pituitary imaging.
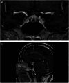
Results: Nine hundred and fifty-four patients received ICI therapy during the study period, and 37 (a prevalence of 3.9%) developed hypothalamic-pituitary-adrenal axis dysfunction. Their mean age was 65 years, and 70% were male. About 86.5% of the total patients affected were treated for metastatic malignancies. Ten of the 37 patients died during follow-up as a direct consequence or complication of their primary cancer diagnosis. The median interval for the onset of symptoms was 4 months. Following repeated testing, there was no recovery in cortisol or ACTH levels for any individual. Other permanent anterior pituitary hormone defects were unusual. Hypophysitis associated with immunotherapy appears to specifically target the corticotrophs, with no evidence of recovery over time. There was a specific abnormality seen in MRI scans of 7 of 27 patients who had scans, which appeared to be a particular feature of immune-mediated hypophysitis. These were confined to the anterior aspect of the pituitary gland, appearing as striations, and were not visible on any of the scans performed more than 3 months after the likely onset of the disease.
Conclusion: These data show that immune-related hypophysitis is a common complication of immune checkpoint inhibitor therapy. This may result in an imaging abnormality within the areas of the pituitary that are richest in corticotrophs. The endocrine consequence of this is a permanent defect in ACTH and, therefore, cortisol production.
Keywords: ACTH; cortisol; hypophysitis; immune checkpoint inhibitor; pituitary.
Conflict of interest statement
The authors declare that there is no conflict of interest that could be perceived as prejudicing the impartiality of the research reported.
Figures


References
-
- Kassi E, Angelousi A, Asonitis N, Diamantopoulos P, Anastasopoulou A, Papaxoinis G, Kokkinos M, Giovanopoulos I, Kyriakakis G, Petychaki F, et al. Endocrine-related adverse events associated with immune-checkpoint inhibitors in patients with melanoma. Cancer Medicine 2019. 8 6585–6594. (10.1002/cam4.2533) - DOI - PMC - PubMed
-
- Barroso-Sousa R Barry WT Garrido-Castro AC Hodi FS Min L Krop IE & Tolaney SM. Incidence of endocrine dysfunction following the use of different immune checkpoint inhibitor regimens: a systematic review and meta-analysis. JAMA Oncology 2018. 4 173–182. (10.1001/jamaoncol.2017.3064) - DOI - PMC - PubMed
LinkOut - more resources
Full Text Sources