A unique presentation of pericardial epithelioid angiosarcoma with multifaceted complications
- PMID: 39359772
- PMCID: PMC11444636
- DOI: 10.1097/MS9.0000000000002521
A unique presentation of pericardial epithelioid angiosarcoma with multifaceted complications
Abstract
Introduction and importance: Angiosarcomas are rare tumors of endothelial origin and may arise in any organ. Epithelioid angiosarcomas are a subtype of angiosarcoma that are rapidly progressive and typically fatal.
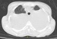
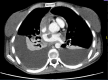
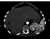
Case presentation: The authors report a case of a 25-year-old previously healthy female who presented initially for dyspnea and palpitations, on further evaluation she was found to have large bilateral pleural effusions and cardiac tamponade.
Clinical discussion: Pericardiocentesis and thoracentesis were performed alongside biopsies that revealed atypical cellular proliferation.Fluorodeoxyglucose-positron emission tomography (FDG-PET) showed avid uptake in the anterior mediastinum, perivascular, paratracheal, subcarinal and pleural lymph nodes with large FDG uptake in the bilateral pleural effusion.Mediastinoscopy was done and biopsies showed an overtly malignant, epithelioid neoplasm with foci of vaso-formation; Keeping with high-grade epithelioid angiosarcoma of the pericardium.She received six cycles of weekly paclitaxel, but imaging for abdominal pain incidentally showed evidence of metastasis to the liver and spine so she was switched to Adriamycin-Ifosfamide for which she received one cycle so far.Her hospital course was complicated by high-output pleural effusions, chylothorax, left atrial thrombus formation and an intensive care unit stay for septic shock.
Conclusion: Pericardial epithelioid angiosarcoma has been reported rarely in the literature. The authors aim to report a case of extensive metastatic pericardial epithelioid angiosarcoma in a young patient; which we believe can be an addition to the literature of a malignancy associated with poor prognosis and no definitive proven treatment regimen.
Keywords: case report; chylo-pneumothorax; pericardial epithelioid angiosarcoma; pleural effusion; tamponade.
Copyright © 2024 The Author(s). Published by Wolters Kluwer Health, Inc.
Conflict of interest statement
The authors declare no potential conflict of interest with respect to the research, authorship and publication of this article.
Figures





References
-
- Li Y, Wang B, Zhang L, et al. . Rare case of pericardial angiosarcoma. Circ Heart Fail 2018;11:e005342. - PubMed
Publication types
LinkOut - more resources
Full Text Sources